Subacute granulomatous thyroiditis - case 827 |
|
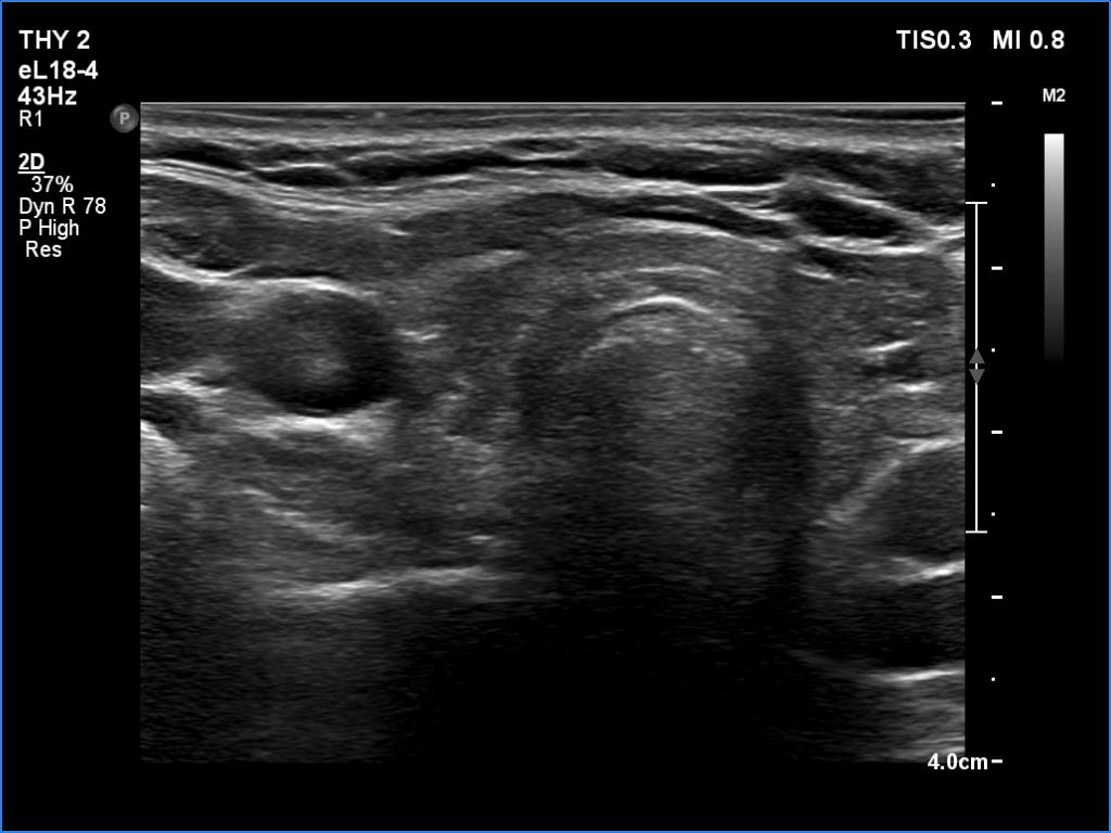
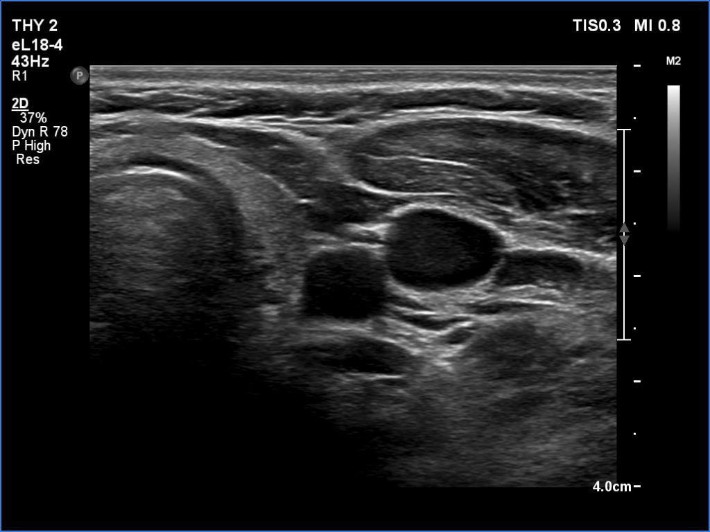
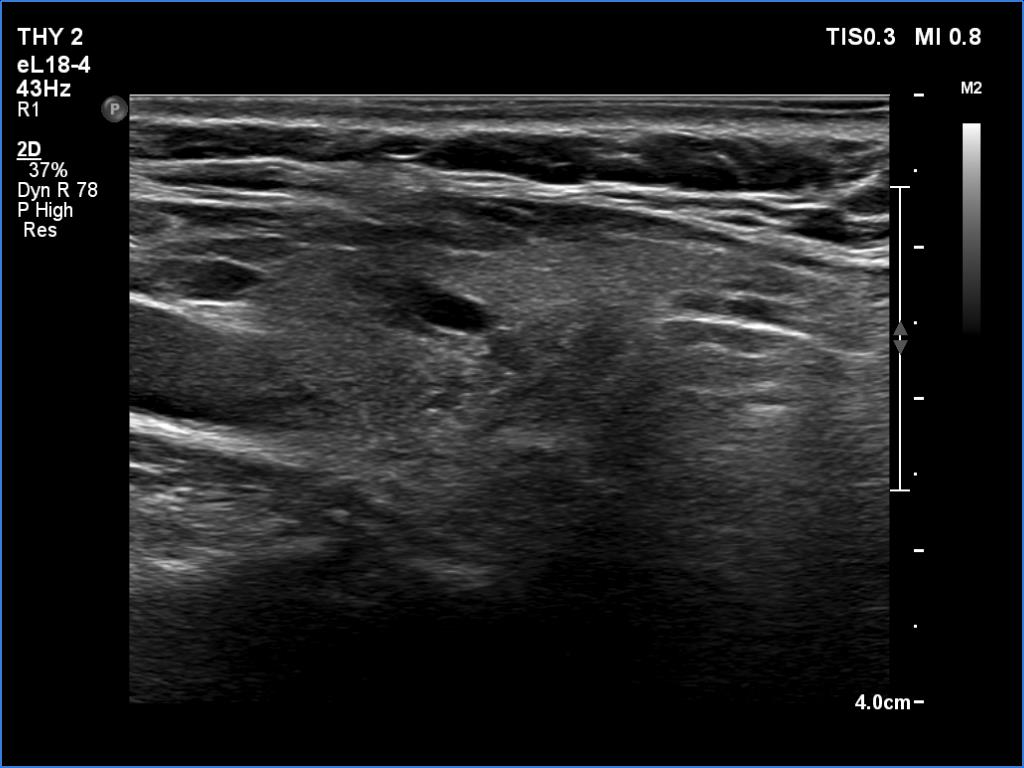
First examination (1st to 3rd rows of images):
Clinical presentation: A 29-year-old woman was referred for an evaluation of neck complaints. She has noticed tenderness in the left side of the neck 3 weeks. One week prior to the examination, pain appeared in the right thyroid. Her body temperature was normal as was the erythrocyte sedimentation rate and CRP, 14 mm/H and 4.1 mg/L (normal value 0-4.8), respectively.
Palpation: The right lobe was tender while the left was painful and hard.
Functional state: subclinical hyperthyroidism with TSH 0.01 mIU/L and FT4 19.1 pM/L, aTPO 2 U/mL.
Ultrasonography: The thyroid was echonormal. There were multiple hypoechogenic areas with ill-defined borders in both lobes. According to the hypoechogenic areas, the vascularization was practically absent.
Aspiration cytology was performed from the painful right lobe and resulted in subacute, granulomatous, de Quervain's thyroiditis.
Steroid therapy was suggested.
Follow-up examination 6 months later (4th row of images):
Clinical presentation: The complaints of the patient ceased on the day of steroid administration and did not recur. Her thyroid function gradually worsened, it means that the TSH elevated in the past 6 months.
Palpation: no abnormality.
Functional state: subclinical hypothyroidism with TSH 9.61 mIU/L and FT4 10.7 pM/L. CRP and ESR were in the normal range.
Ultrasonography: The thyroid became hypoechogenic and decreased significantly in size while the vascularization was significantly increased.
We suggested regular follow-up with TSH determination every 3 months.
Follow-up examination 16 months later (5th row of images):
Clinical presentation: The patient had no complaints except for 7 kg gain in weight. A subclinical hypothyroidism was detected in each visits with a moderately elevated TSH level (8.01 mIU/L, 6.85 mIU/L and 7.83 mIU/L) in the past 10 months.
Palpation: no abnormality.
Functional state: subclinical hypothyroidism with TSH 10.2 mIU/L, and FT4 9.09 pM/L. CRP and ESR were in the normal range. A-TPO was 1 U/mL, anti-hTg was 8 U/mL.
Ultrasonography: The thyroid became hypoechogenic and decreased further in size. The vascularization was average.
Cytology resulted in Hashimoto's thyroiditis.
We started with replacement therapy.
Follow-up examination 5 years (6th row of images):
Clinical presentation: The patient had no complaints.
Palpation: no abnormality.
Functional state: TSH 0.16 mIU/L, FT4 16.7 pM/L on daily 75 microgram levothyroxine.
Ultrasonography: Compared with the last examination, the thyroid was less hypoechoic. The vascularization was decreased.
Comments:
It is an exceptional situation in de Quervain's thyroiditis with a normal erythrocyte sedimentation rate and CRP level.
It is worth analyzing the cytological images. The presence of the heterogeneous lymphoid elements and oxyphilic cells suggest Hashimoto's thyroiditis.
The course of the disease suggest that the patient had a clinically subacute attack of a Hashimoto's thyroiditis. The repeatedly normal antibody levels do not exclude this possibility. However, we cannot disregard the original cytological pattern: there were unequivocal signs of a granulomatous tissue.
Taking all these into account, after the third visit, we though that the patient had initially a subacute granulomatous thyroiditis while later a Hashimoto's thyroiditis. We guessed that de Quervain's thyroiditis provoked the underlying clinically silent autoimmune thyroiditis. However, after the last visit, another opportunity should be also considered. It is conceivable that this patient would require much more time than usually to regenerate from the subacute thyroiditis. Note that the echogenicity became completely normal over time in the left lobe.
.






























