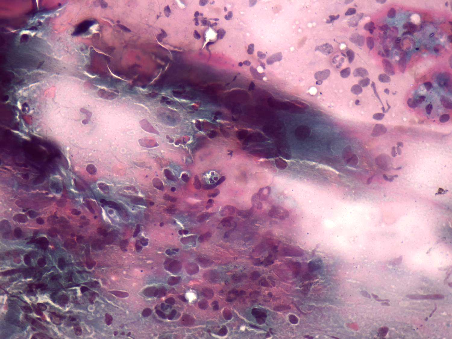
Subacute granulomatous thyroiditis - case 918 (cytologic picture 4)
|
|
|
|
|
Pap-smear, 400x. Typical presentation of a de Quervain's thyroiditis: multinucleated cells, various inflammatory cells including epithelioid cells are on the smear.


