Subacute granulomatous thyroiditis - case 918 |
|
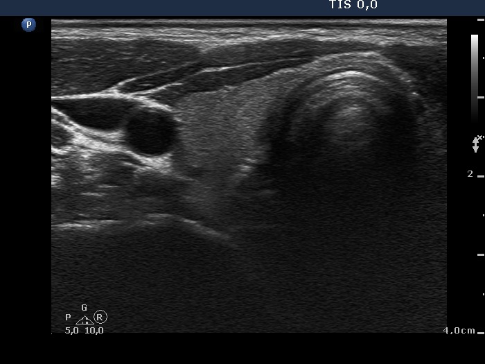
First examination (1st and 4th rows of images):
Clinical presentation: A 34-year-old woman was referred for an evaluation of neck complaints. Neck pain and fever started 2 month ago and lasted for 3 weeks. Then complaints suggesting hyperthyroidism have developed. The neck complaints have decreased. The body temperature has normalized.
Palpation: The right lobe was tender and hard on palpation.
Functional state: hyperthyroidism with TSH 0.01 mIU/L and FT4 27.2 pM/L, CRP 12.8 mg/L (normal value 0-4.8), TSAb 0 U/L.
Ultrasonography: The thyroid was echonormal and presented hypoechogenic areas with ill-defined borders. The vascularization was average.
Aspiration cytology was performed from right thyroid and resulted in subacute, granulomatous, de Quervain's thyroiditis.
Non-steroid anti inflammatory drug was administered.
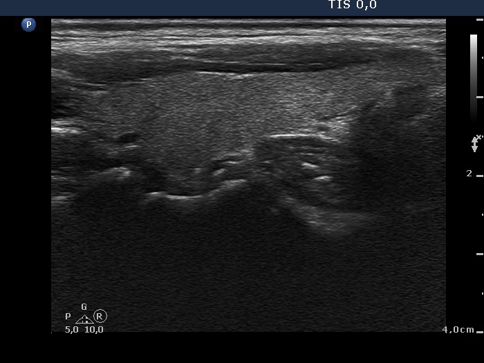
Follow-up examination 3 months later (2nd row of images):
Clinical presentation: The complaints of the patient ceased.
Palpation: The thyroid was not tender, both lobes were firm.
Functional state: hypothyroidism with TSH 2.98 mIU/L and FT4 7.56 pM/L. CRP 1.9 mg/L.
Ultrasonography: The proportion of hypoechogenic areas has decreased. The vascularization became normal.
Follow-up examination 11 months later (3rd row of images):
Clinical presentation: The patient had no complaints.
Palpation: no abnormality.
Functional state: euthyroidism with TSH 1.09 mIU/L, and FT4 17.1 pM/L.
Ultrasonography: The thyroid was echonormal with several small minimally hypoechogenic areas. The vascularization was less than the average.
.




















