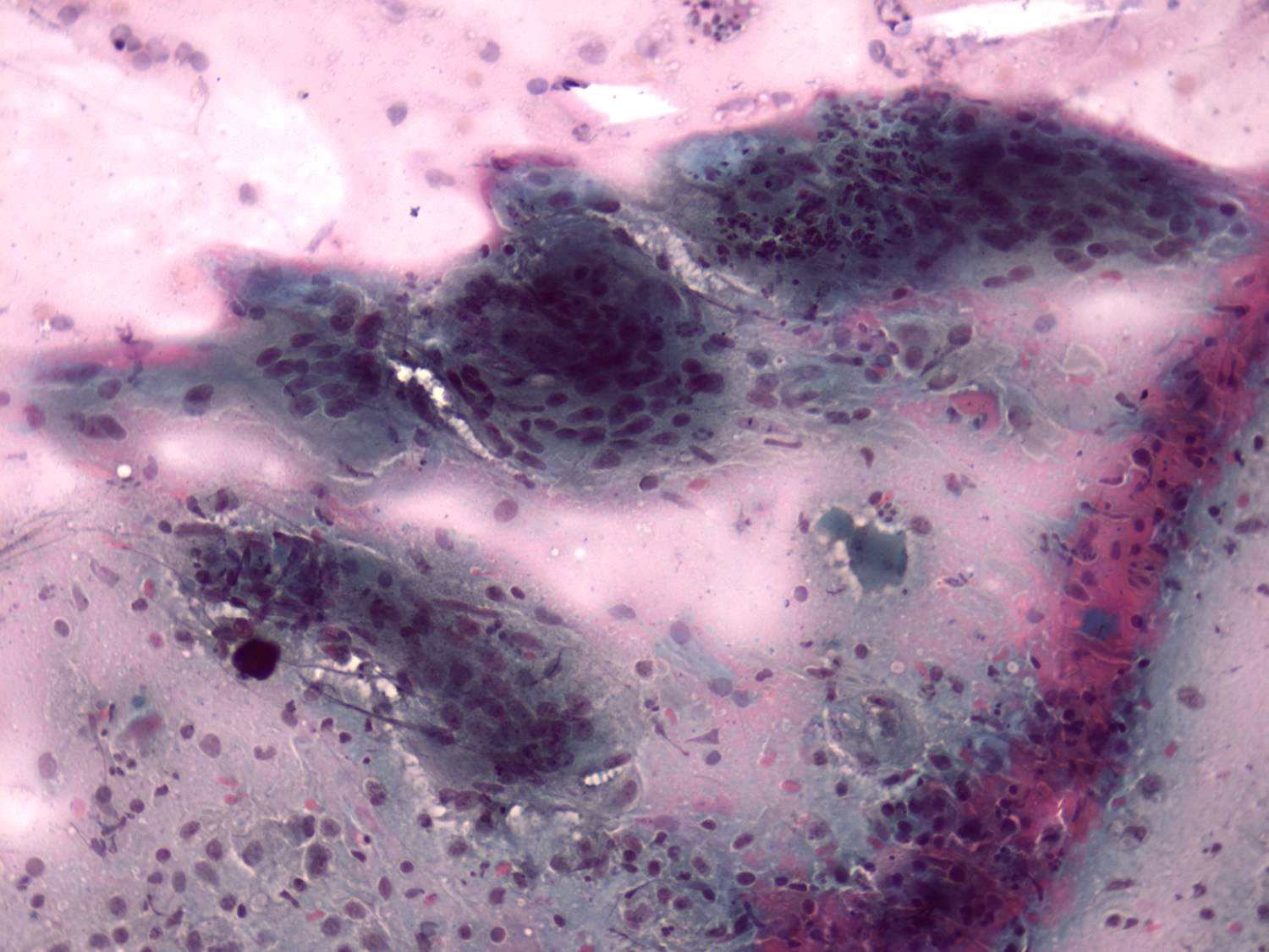
Subacute granulomatous thyroiditis - case 918 (cytologic picture 2)


Previous picture Back to Case Maximize Next picture



Pap-smear, 200x.   Multinucleated cells composed of epithelioid cells are demonstrated.

mask