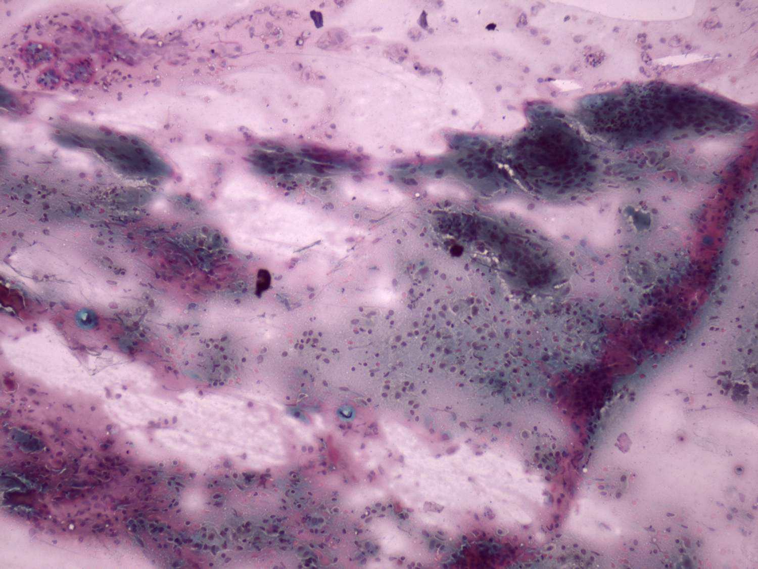
Subacute granulomatous thyroiditis - case 918 (cytologic picture 1)
|
|
|
|
|
Pap-smear, 100x. There is no colloid in the background. There are several multinucleated cells mixed with other inflammatory elements.


