Graves' disease - case 195 (cytologic picture 2)


Previous picture Back to Case Maximize Next picture


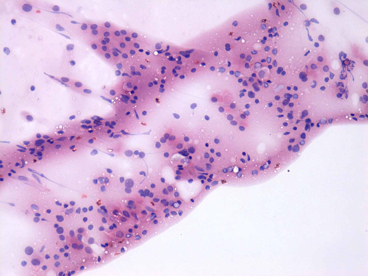
Pap-smear, 200x.   Oxyphilic cells mixed with lymphocytes.

mask