Graves' disease - case 195 (cytologic picture 3)
|
|
|
|
|
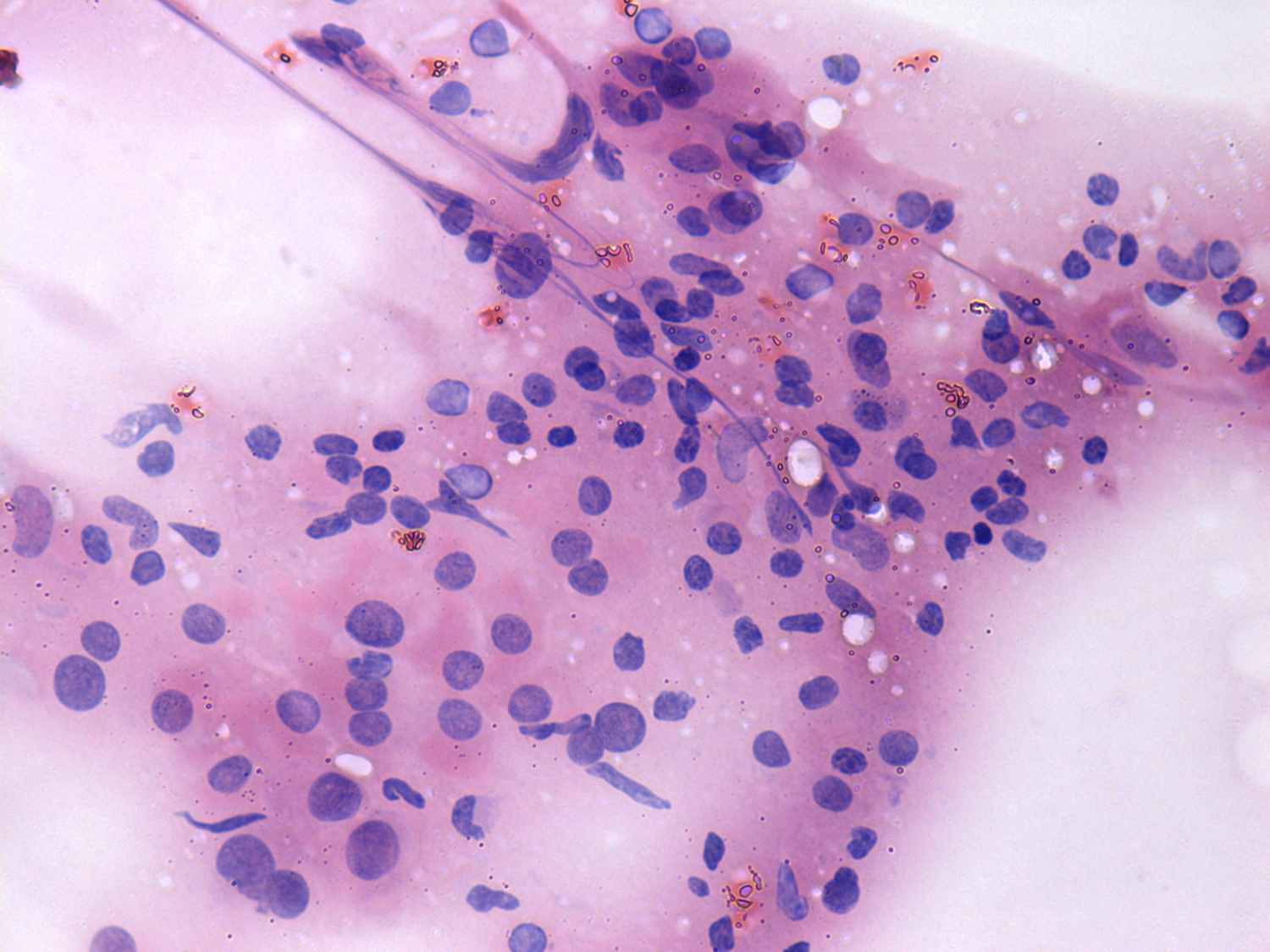
Pap-smear, 400x. This is the typical cytological presentation of Hashimoto's thyroiditis: oxyphilic cells showing anisonucleosis mixed with lymphoid elements.

