Graves' disease - case 572 (cytologic picture 5)


Previous picture Back to Case Maximize Next picture


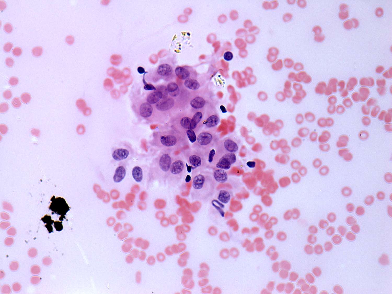
Pap-smear, 400x.   A group of unusual cells. These cells may be follicular cells but also histiocytes.

 

 

 

mask