Graves' disease - case 572 (cytologic picture 6)


Previous picture Back to Case Maximize Next picture

Right lobe, longitudinal scan

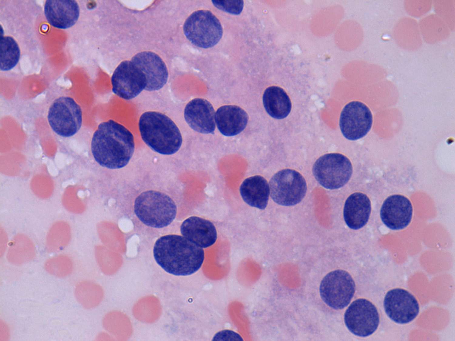
Pap-smear, 1000x.   Note mild anisonucleosis and vacuolization.

 

 

 

mask