Graves' disease - Case 572 |
|
First examination (first and second rows of images):
Clinical presentation: A 33-year-old woman was referred for an evaluation of complaints suggesting hyperthyroidism. The patient was never pregnant.
Palpation: no abnormality.
Results of blood test: TSH undetectable, FT4 31.0 pM/L, aTPO 703 U/mL, TSAb 0.5 U/L (normal value < 1.5).
Ultrasonography: A diffusely hypoechogenic thyroid was found with several discrete lesions. The vascularization was increased.
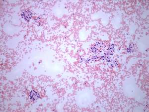
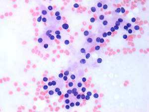
Cytology was performed from the right lobe.Cytological diagnosis: benign pattern corresponding to hyperthyroidism without any signs of thyroiditis.
Considering the results of investigation, low dose (daily 15 mg) methimazole was administered.
Follow-up examination 15 months after first visit (third row of images):
Clinical presentation: The patient was regularly followed-up and was euthyroid on daily 10 mg methimazole. She had no complaints.
Palpation: no abnormality.
Results of blood test: euthyroidism on daily 10 mg methimazole (TSH 1.83 mIU/L, FT4 14.6 pM/L).
Ultrasonography: The thyroid was echonormal and contained small hypoechogenic areas. The vascularization was practically absent.
The thyrostatic was discontinued.
Follow-up examination 4 years after first visit, five month after delivery (fourth row of images):
Clinical presentation: The patient gave birth 4 months ago. Six weeks after delivery, there was a moderate excess of hormones (TSH undetectable, FT4 27.1 pM/L) for which no drug treatment was recommended. She came for follow-up. He experienced fatigue and hair loss.
Palpation: no abnormality.
Results of blood test: TSH 33.2 mIU/L, FT4 5.10 pM/L.
Ultrasonography: The thyroid became deeply hypoechoic and showed increased vascularity. There was an echonormal lesion in the dorsal part of the right lobe.
We suggested only observation, the thyroid function has spontaneously improved and has normalized 14 months after delivery.
Follow-up examination 6 years after first visit (fifth row of images):
Clinical presentation: The patient came to a routine-follow-up. She had no complaints.
Palpation: no abnormality.
Result of blood test: TSH 2.27 mIU/L.
Ultrasonography: The thyroid was echonormal and had several small hypoechoic areas. The discrete lesion in the right lobe has not changed.
Suggestion: TSH in 2 years, in the event of either complaints suggesting hyperthyroidism or pregnancy, at once.
Comments.
-
At the first examination, the patient had a typical presentation of hashitoxicosis including elevated aTPO and normal TSAb levels and moderate degree of hyperthyroidism. However, there were two circumstances arguing against thyroiditis: the increased vascularization and the cytologic pattern. And there is a third argument: if the patient had hashitoxicosis then hypothyoidism would evolve on thyrostatic therapy. But it did not happen.
-
The sensitivity of TSAb is around 90% in our practice. This patient belonged to the 10% of false negative cases.
-
Later, the patient presented typical course of post partum thyroiditis.
-
The discrete lesion which has appeared at the third examination is either an echonormal nodule or that part of the thyroid which is not influenced by the underlying autoimmune thyroid disease.
























