Graves' disease - case 612 (cytologic picture 2)


Previous picture Back to Case Maximize Next picture

Right lobe, longitudinal scan

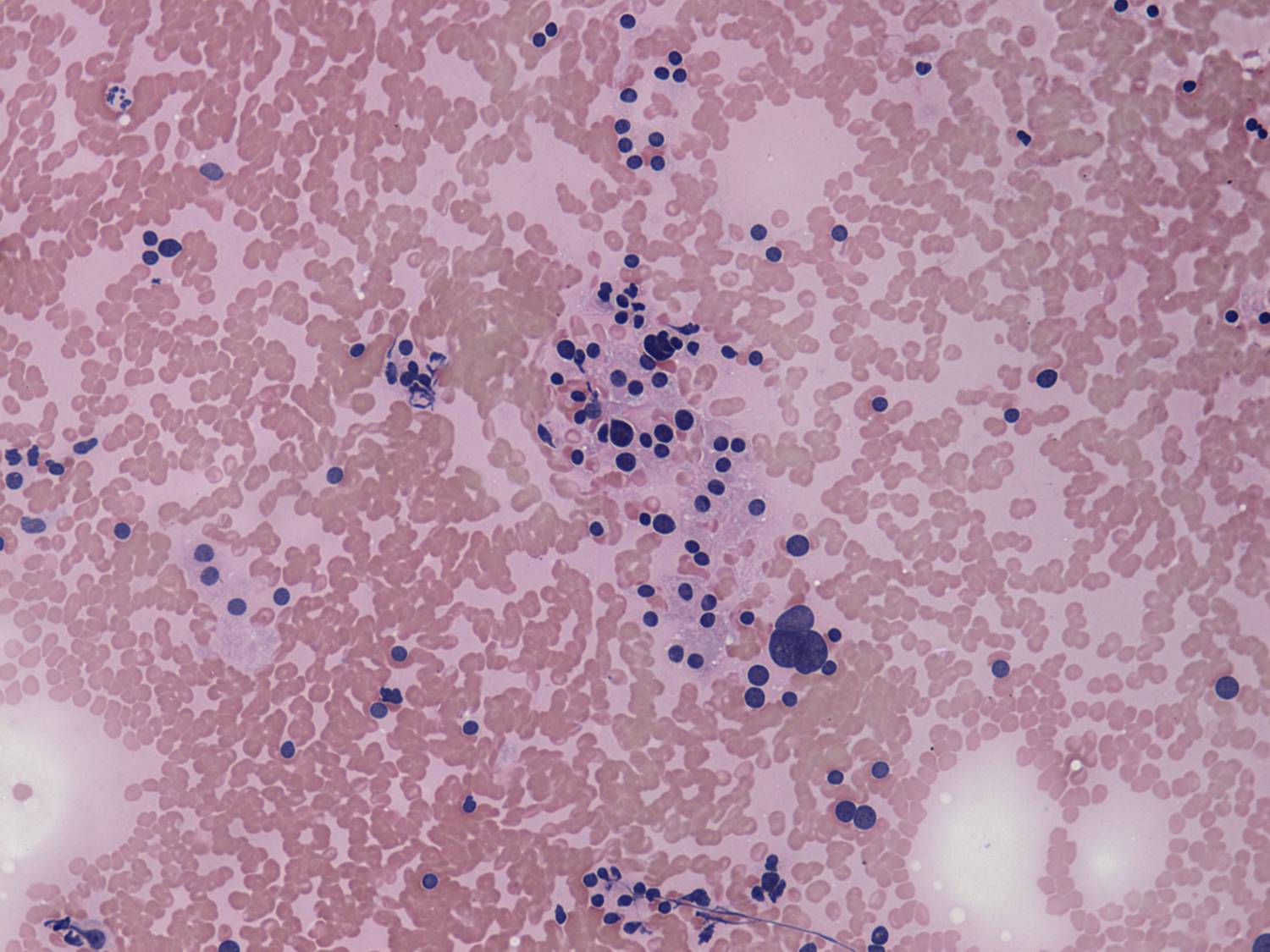
Pap-smear, 200x.  Follicular cells show anisonucleosis of extreme degree.

 

 

 

mask