Graves' disease - case 612 (cytologic picture 3)


Previous picture Back to Case Maximize Next picture

Right lobe, longitudinal scan

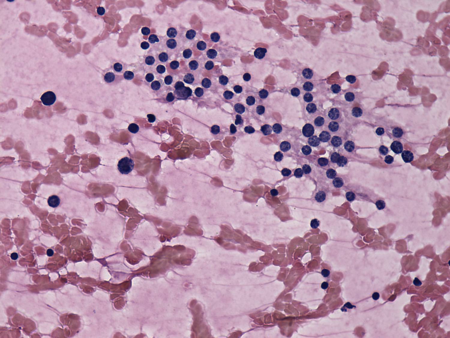
Pap-smear, 400x.  Follicular cells display vacuolization.

 

 

 

mask