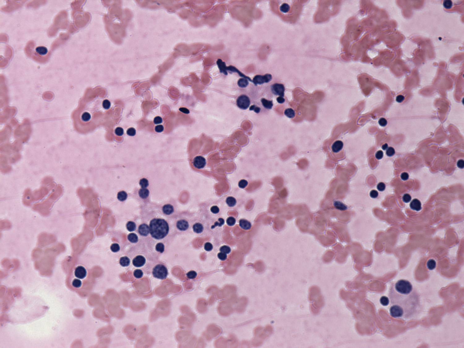
Graves' disease - case 612 (cytologic picture 4)
|
|
|
![]() |
|
Pap-smear, 400x. The difference between the smallest and largest follicular cell is around 4-fold in diameter, which means a 64-fold difference in volume. The enlarged cells are round.

