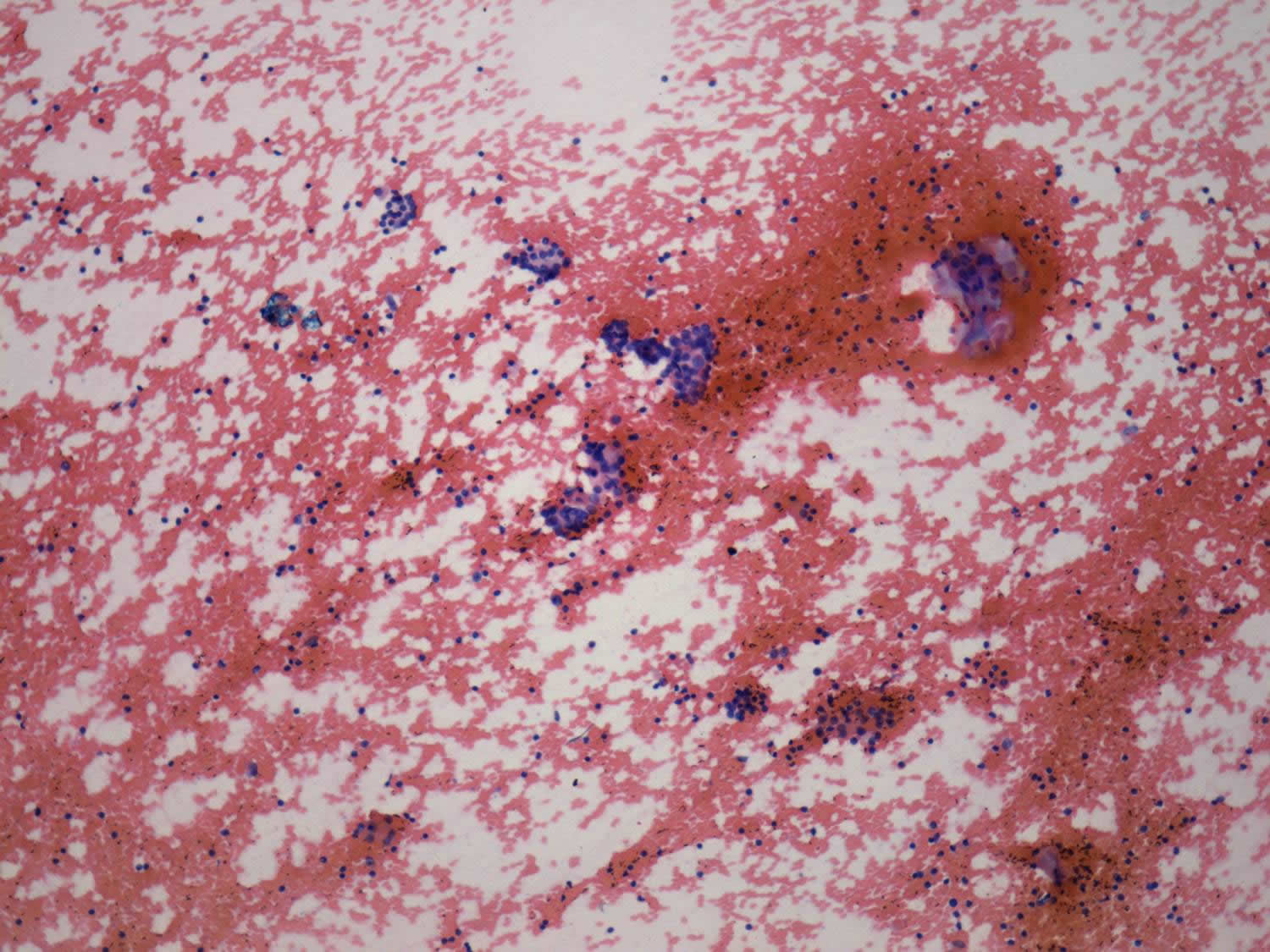
Lymphocytic thyroiditis - case 1365 (cytologic picture 1)


Previous picture Back to Case Maximize Next picture

Right lobe, longitudinal scan

Pap-smear, 100x.   There is no colloid in the background.

mask