Lymphocytic thyroiditis - case 1365 (cytologic picture 2)


Previous picture Back to Case Maximize Next picture

Right lobe, longitudinal scan

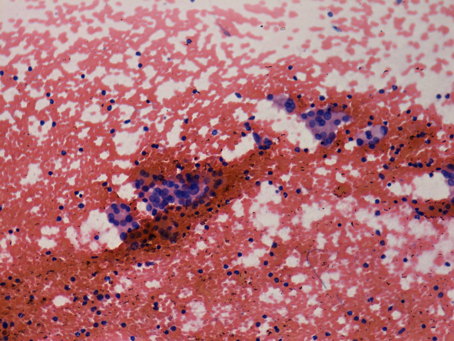
Pap-smear, 200x.   This is a microfollicular growth pattern.

mask