Lymphocytic thyroiditis - case 1365 (cytologic picture 3)


Previous picture Back to Case Maximize Next picture

Right lobe, longitudinal scan

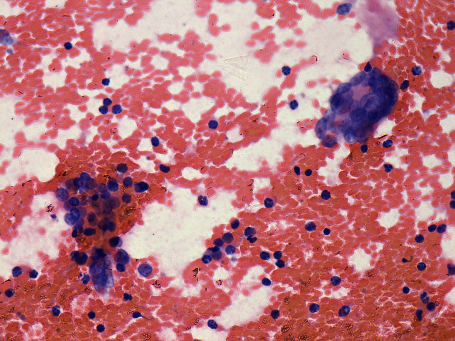
Pap-smear, 400x.   There is an atypical microfollicle composed of atypical, enlarged follicular cells.

mask