Menu
2022-23 Advanced Papillon Course
Home
Case of the Month
Webinars
1 Introduction
2 Nodular goiter
3 Non-nodular thyroid
Lymphocytic thyroiditis
Chapter Home
Introduction
Manual
Courses
Cases
Videolibrary
4 Non-thyroid neck
5 US-interventions
6 Advanced courses
7 Related topics
Supplement
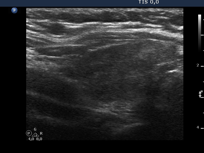
Lymphocytic thyroiditis - case 1442
Follow-up examination 7 years after the first one (ultrasonographic picture 5)
Left lobe, longitudinal scan.