Lymphocytic thyroiditis - case 325 |
|
Clinical data: A 46-year-old woman was referred for evaluation of complaints suggesting thyroid dysfunction.
Palpation: Both lobes were a bit firm on palpation.
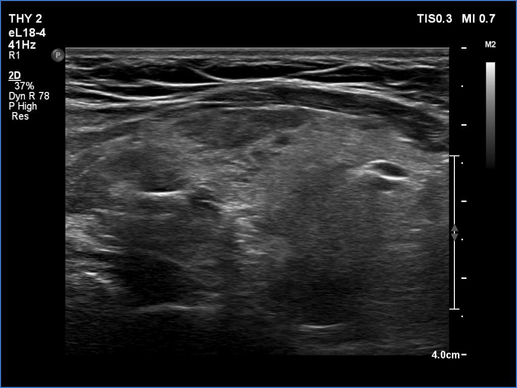
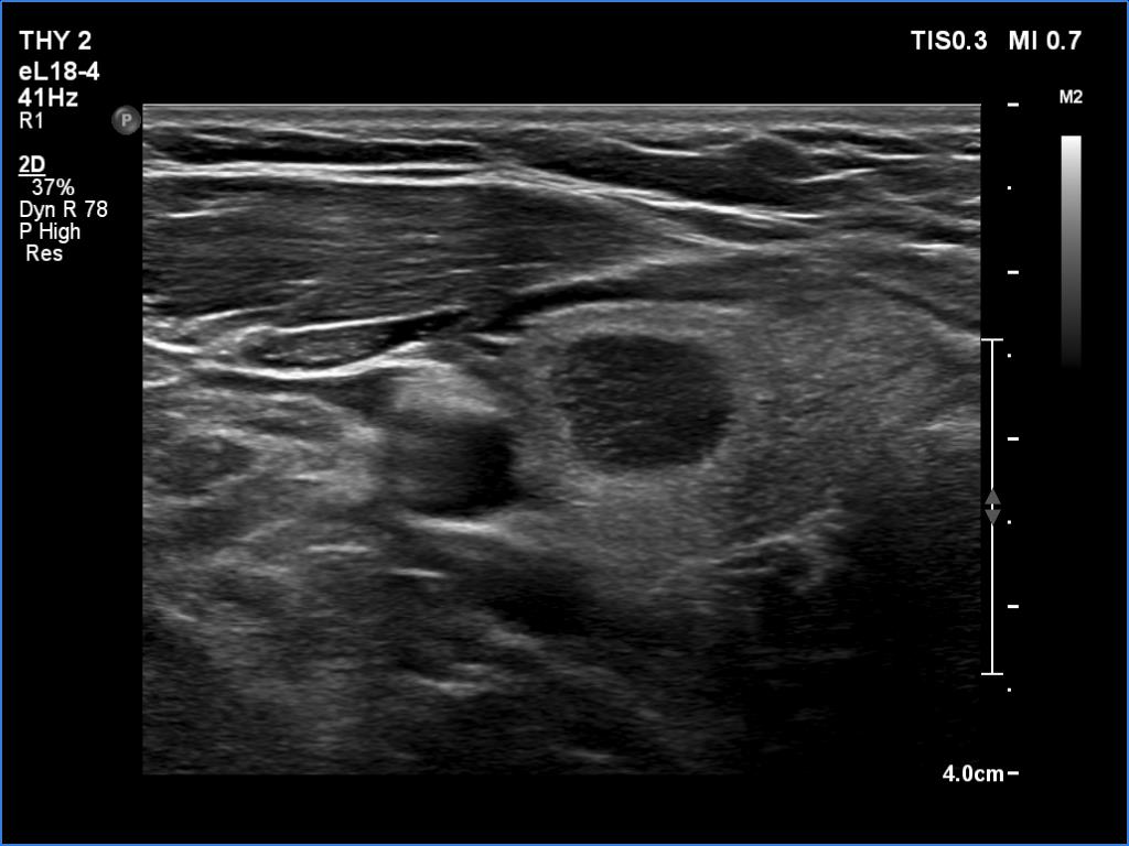
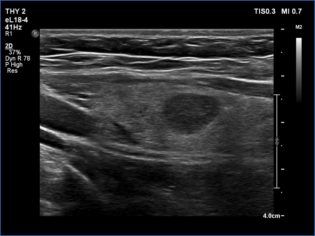
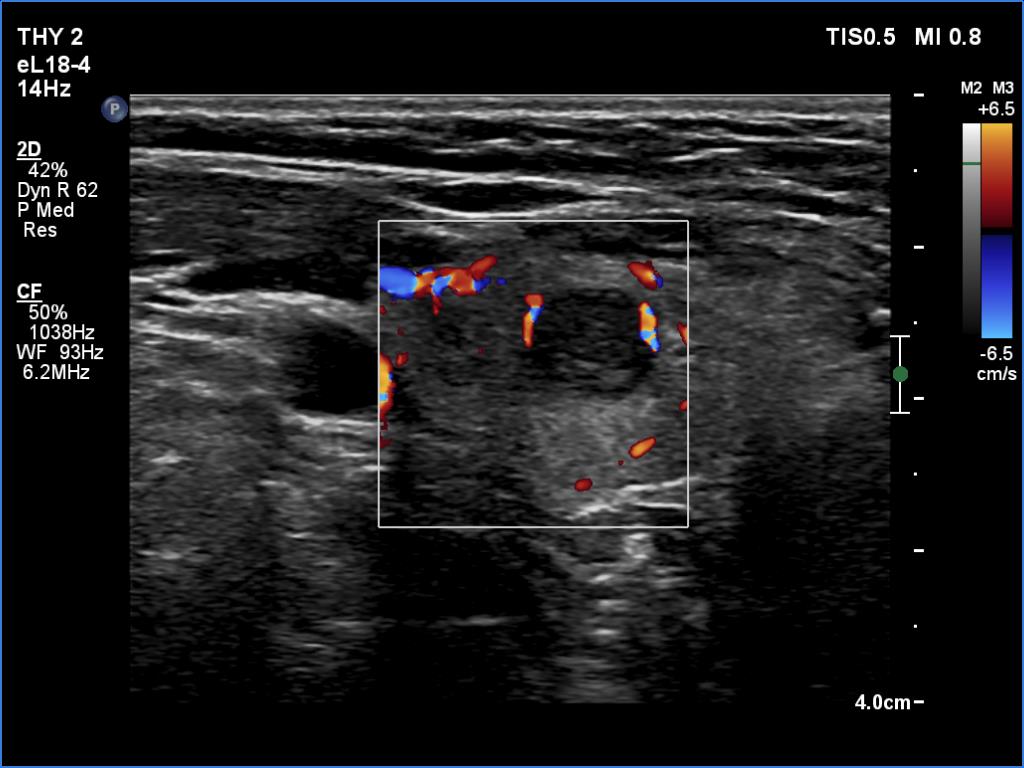
Ultrasonography. The thyroid was echonormal and presented several minimally-moderately hypoechoic areas. One of them, which was located in the central part of the right lobe was deeply hypoechoic and corresponded to pathological nodule. The other lesions seemed to be not true nodules but more active foci of thyroiditis.
Laboratory tests: TSH 2.61 mIU/L, aTPO 143 U/mL.
Cytology was performed form the lesion in the right lobe and resulted in lymphocytic thyroiditis.
Comment. It is worth comparing the deeply hypoechoic nodule with the other discrete lesions. The former has regular, sharp borders, and its echogenicity differs from other areas of the thyroid. These are the main clues of differentiation of a true nodule from a discrete lesion of Hashimoto's thyroiditis.









