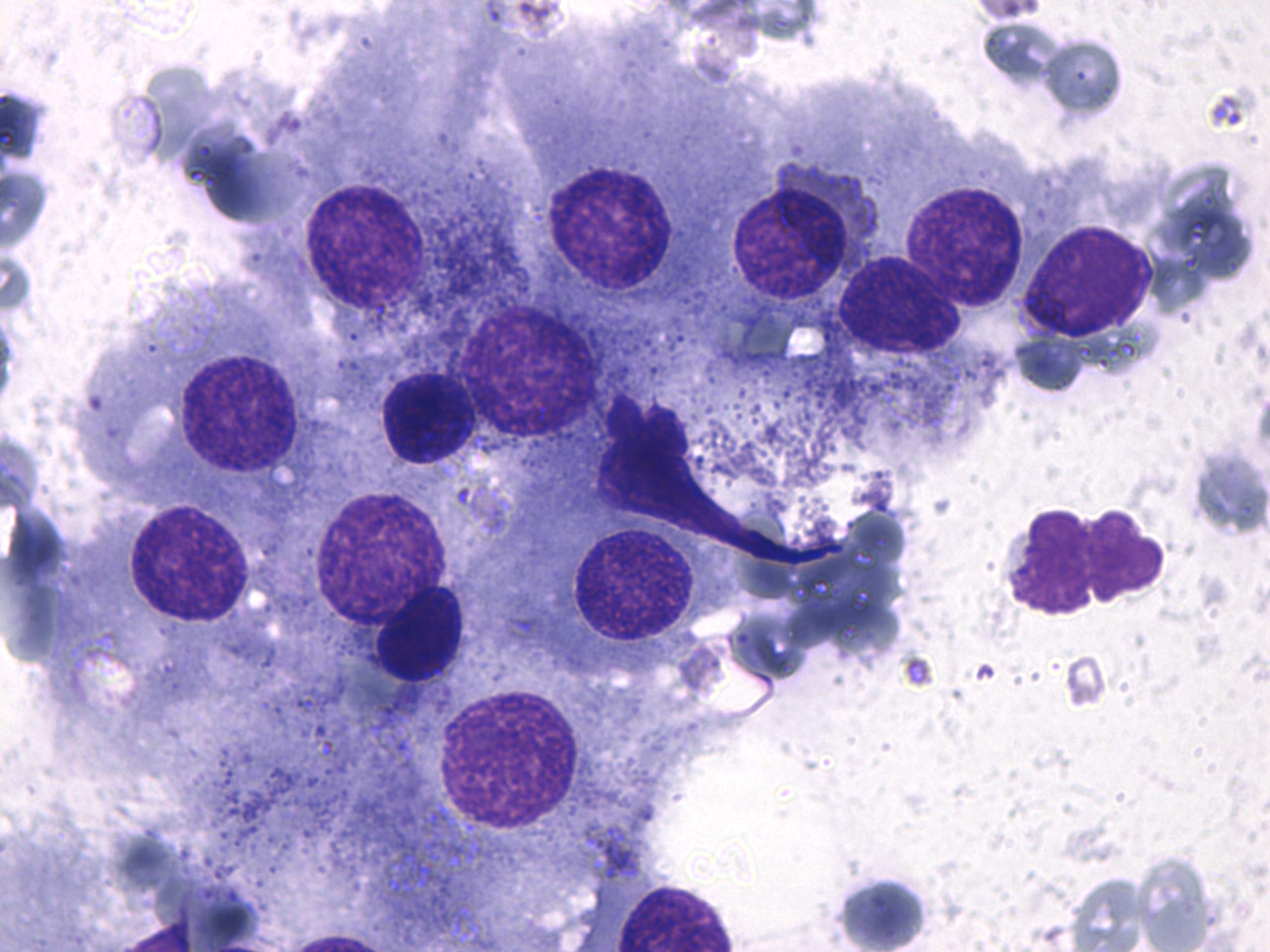
Lymphocytic thyroiditis - case 477 (cytologic picture 7)
|
|
|
![]() |
|
Wright-Giemsa staining, 1000x. It is equivocal whether the hyperchromatic nuclei are lymphocytes or non-metaplastic follicular cells.

