Lymphocytic thyroiditis - case 477 (cytologic picture 8)


Previous picture Back to Case Maximize  

Right lobe, longitudinal scan

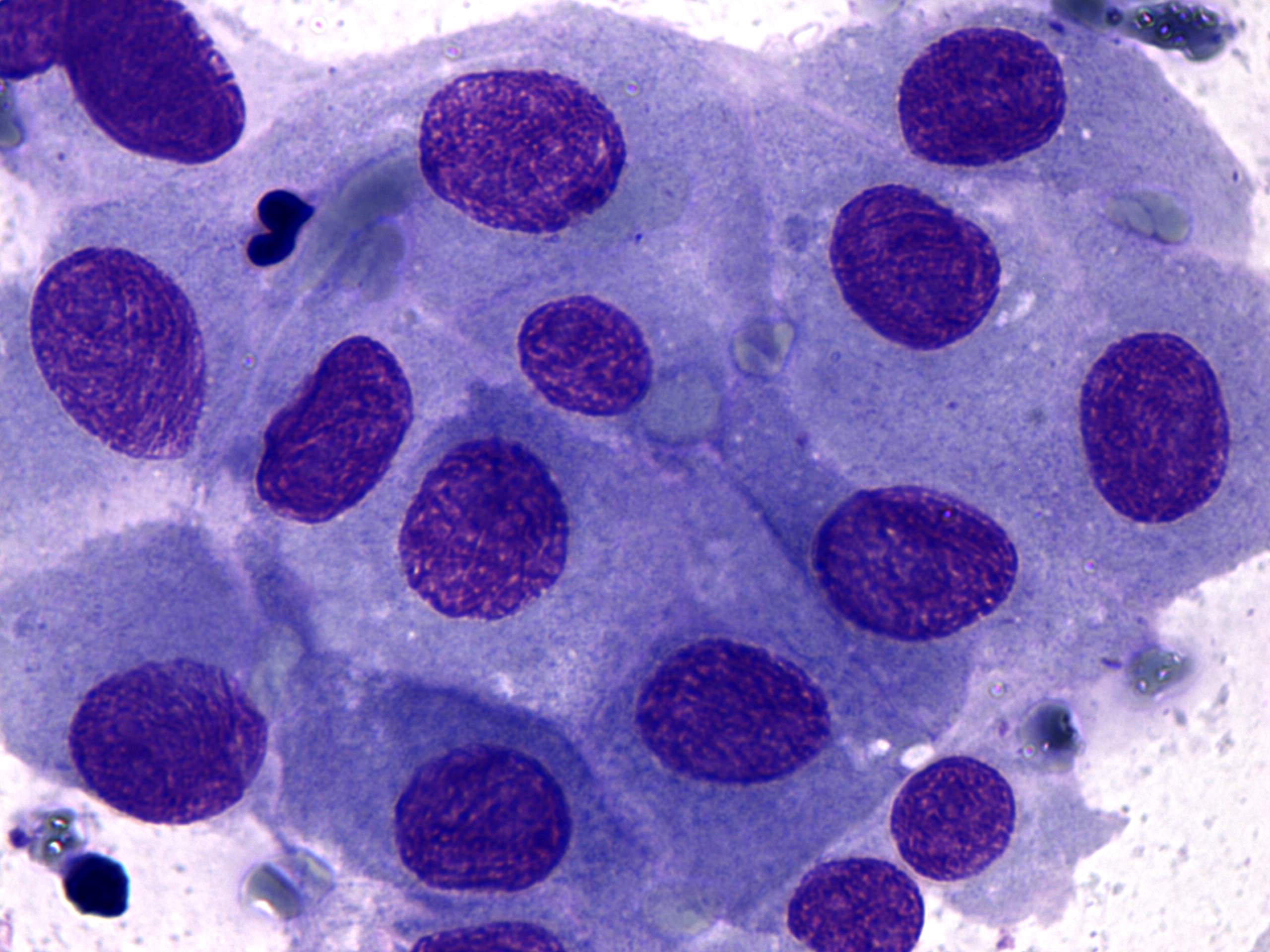
Wright-Giemsa staining, 1000x.   Follicular cells show coarsely granular chromatin structure.

 

 

 

 

 

mask