Lymphocytic thyroiditis - case 562 |
|
Clinical data: A 67-year-old woman underwent surgery for breast cancer two years ago. She has received chemotherapy for liver and lung metastases. TIRADS 5 nodules were described on cervical ultrasound.
Palpation: no abnormality.
Laboratory tests: TSH 8.79 mIU/L, aTPO 808 U/mL.
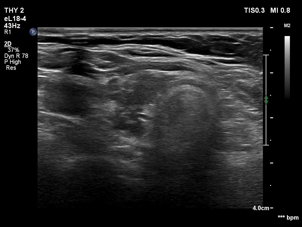
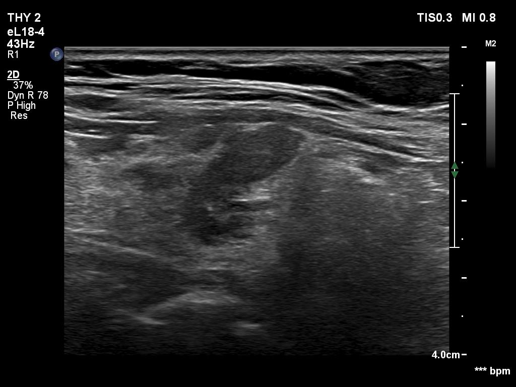
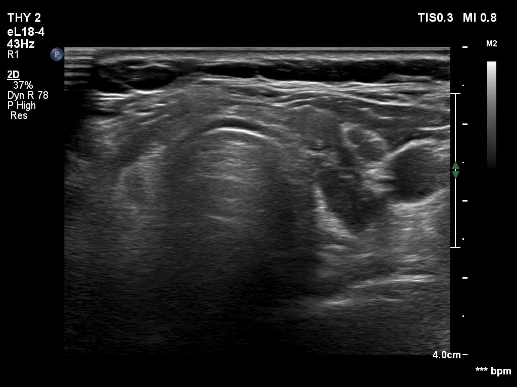
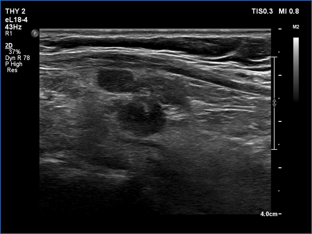
Ultrasonography. The thyroid was mainly composed of hypoechoic islets which floated in less hypoechoic background. These lesions had irregular, lobulated margins and showed no vascularity.
FNA was performed from a discrete lesion in the right and from another one in the left lobe. Cytology resulted in Hashimoto's thyroiditis. Wash-out thyroglobulin level exceeded 478 ng/mL in both cases.
Suggestion: daily 50 microgram levothyroxine.
Comment. The presentation was not entirely characteristic of Hashimoto's thyroiditis. Nevertheless, the multiplicity of the lesions, the irregular borders and the moderately hypoechoic non-lesional part of the lobe all argued for being these lesions not true nodules but more active foci of thyroiditis.





