Lymphocytic thyroiditis - case 200 |
|
Clinical presentation: A 69-year-old woman was referred for follow-up examination. She has been treated for hypothyroidism for more than 25 years.
Palpation: no abnormality.
Functional state: TSH 6.92 mIU/L, FT4 11.9 pM/L.
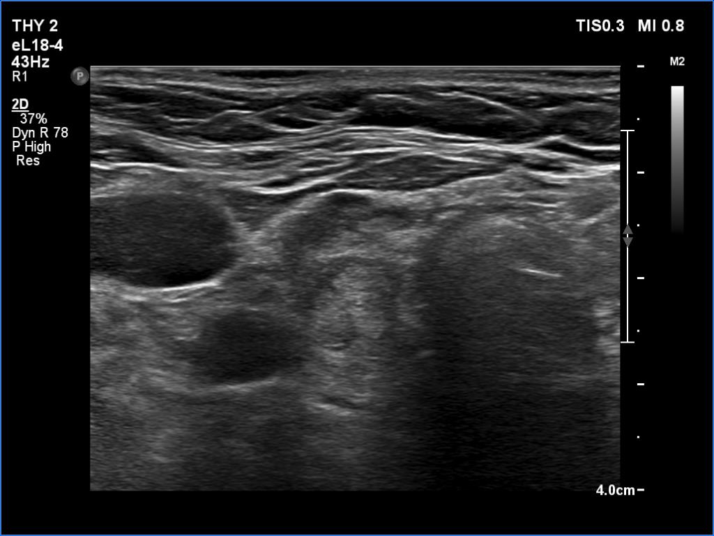
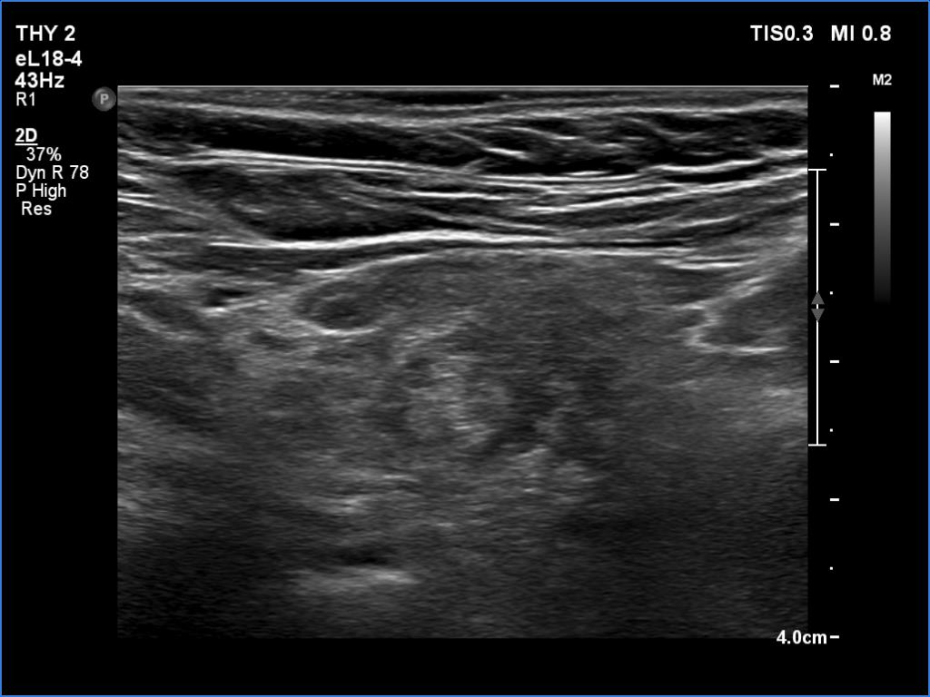
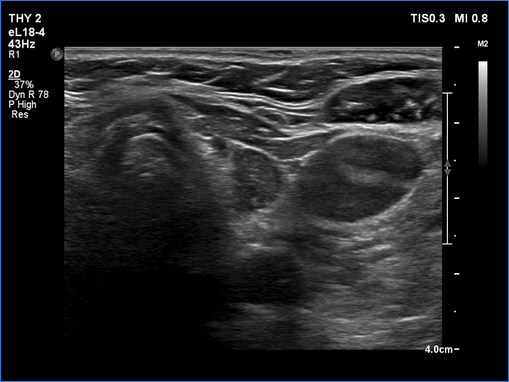
Ultrasonography: The right lobe had several discrete hypoechoic areas within an echonormal background. The left lobe had a larger hypoechoic area resembling the presentation of central hypoechoic area-type form.
Suggestion: to increase the dose of levothyroxine to daily 125 micrograms.
Comment: The central hypoechoic area-type presentation is always bilateral. The pattern in this case should be regarded as focal form of lymphocytic thyroiditis.





