Lymphocytic thyroiditis - case 651 |
|
Clinical data: A 26-year-old woman was referred for evaluation of a multinodular goiter which was found on carotid Doppler examination. The patient has been treated for hypothyroidism for 14 years.
Palpation: Both lobes were firm. No nodule could be palpated.
Laboratory test: TSH 2.47 mIU/L on daily 50 microgram levothyroxine.
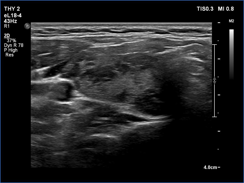
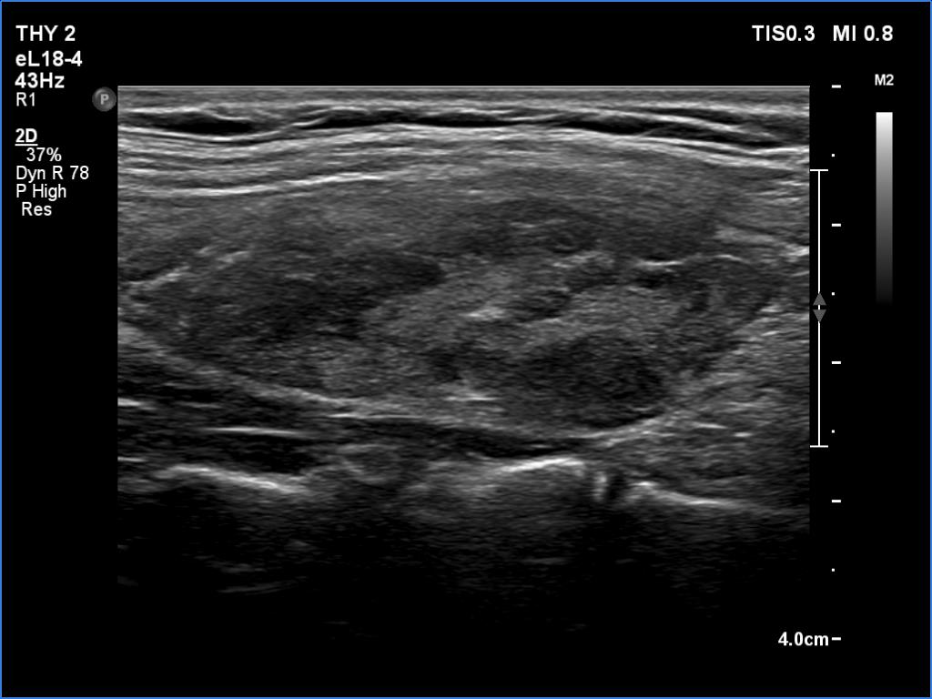
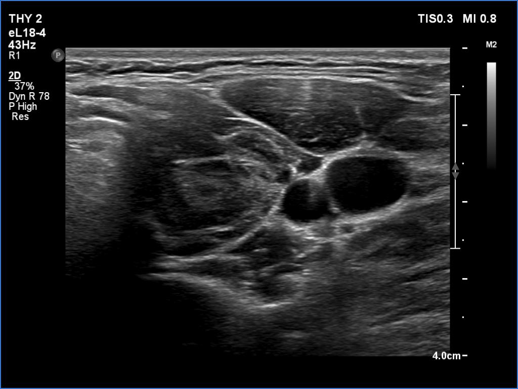
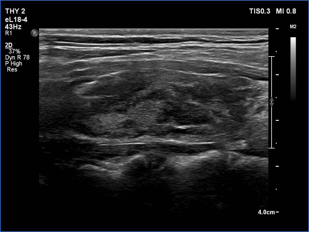
Ultrasonography. The thyroid was echonormal and had hypoechoic areas. The echogenicity index exceeded 50%. The pattern did not correspond to nodule. The vascularity was not specific.
Compared with the previous examinations, the ultrasound pattern remained unchanged.
Comment. This is the most common presentation of Hashimoto's thyroiditis, unfortunately not infrequently misinterpreted as a multinodular goiter. The multiplicity and the irregular borders of the discrete lesions are the main clues to avoid misinterpretation of these lesions as nodules.





