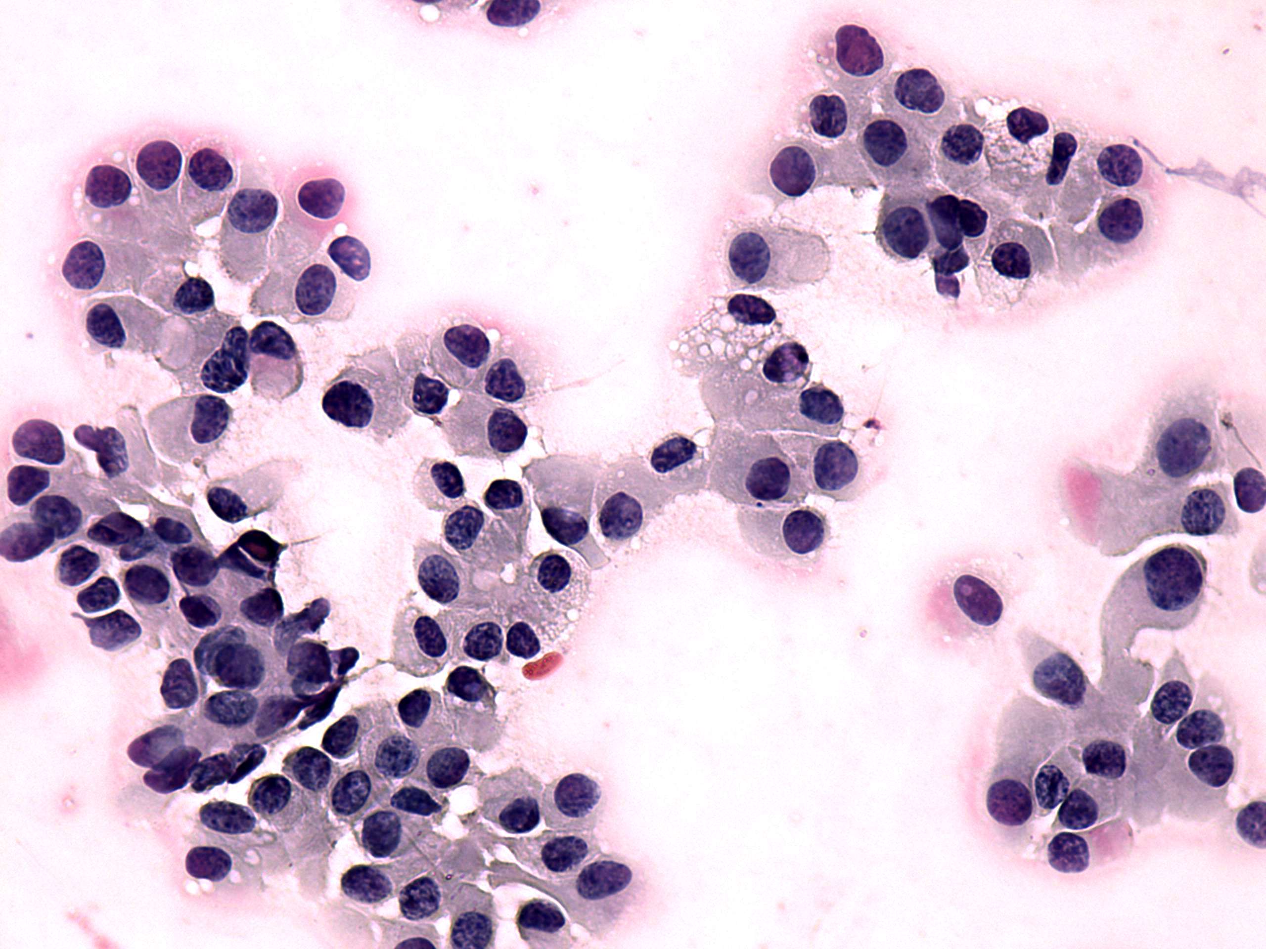
Lymph nodes in the neck - Case 1099 (cytologic picture 4)
|
|
|
|
|
Pap-smear, 400x. Note vacuolization. The degree of anisonucleosis didn't matters if the origin of the cells would be thyroid but could be held significant if the cells arised from the breast.

