Lymph nodes in the neck - Case 1099 (cytologic picture 5)

Previous picture Back to Case Maximize Next picture

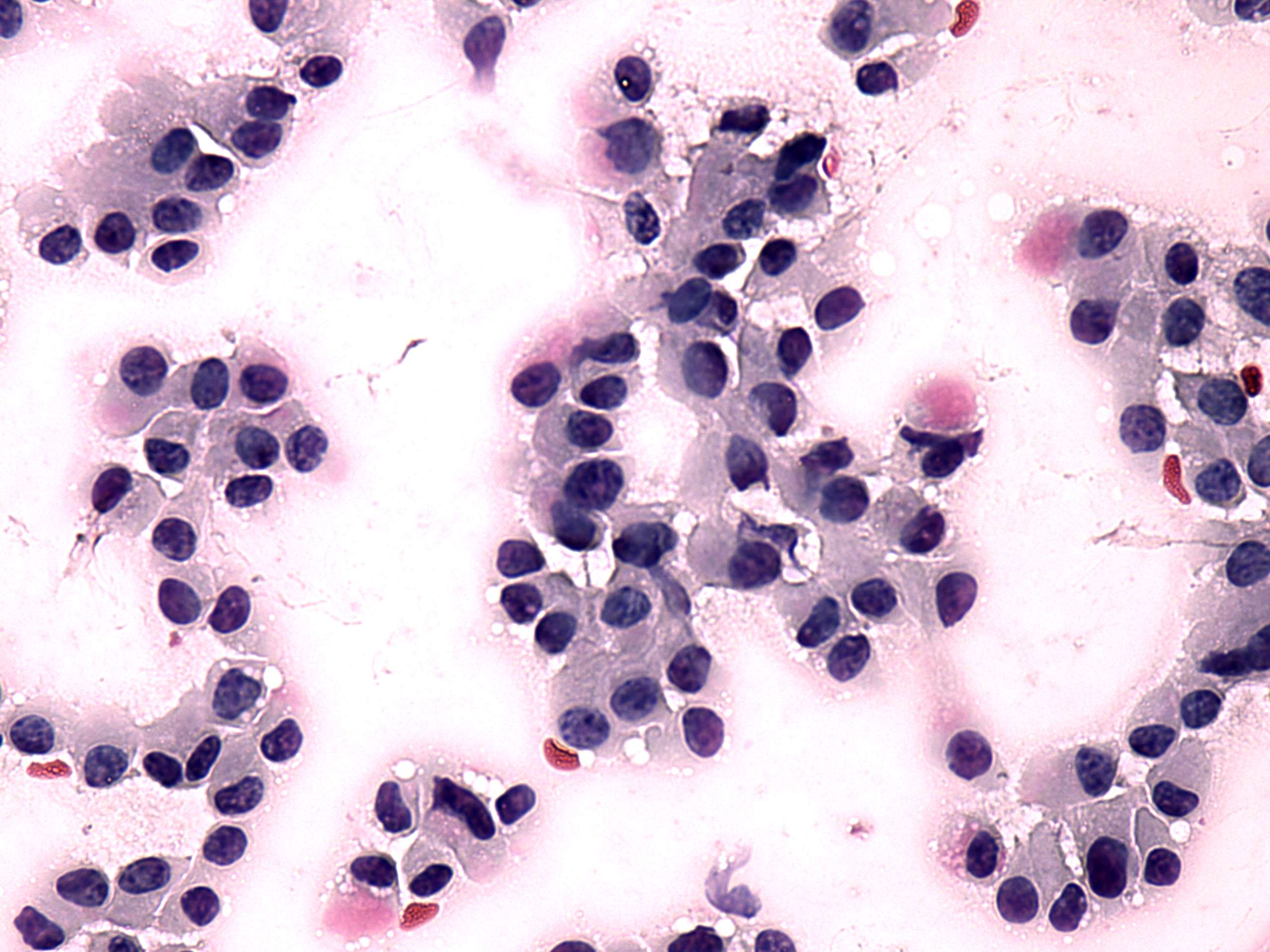
Pap-smear, 400x.   Several dark, hyperchromatic nuclei can be seen.

mask