Lymph nodes in the neck - Case 1160 (cytologic picture 2)

Previous picture Back to Case Maximize Next picture

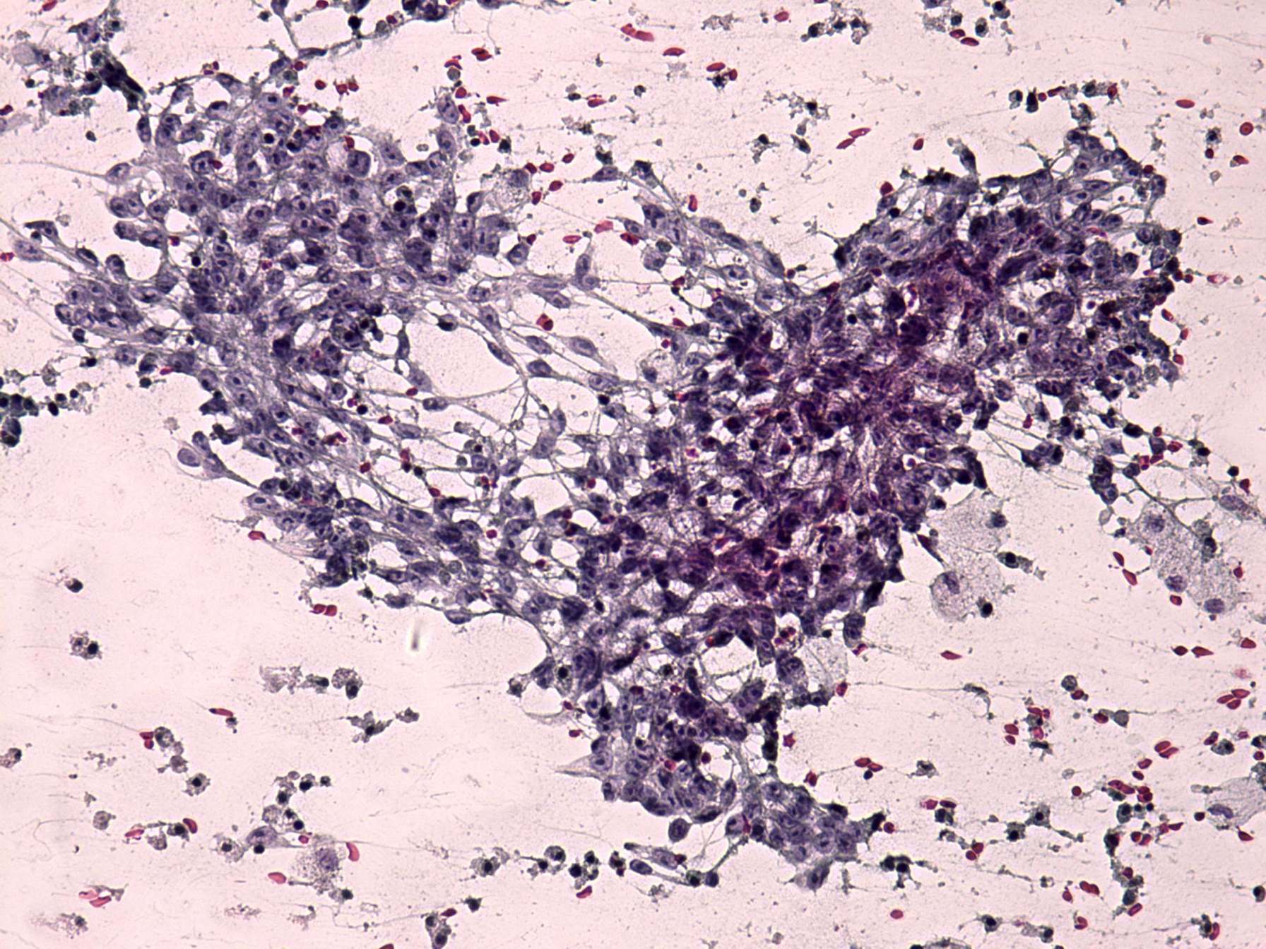
Pap-smear, 200x.   Epithelial cells have prominent nucleoli.

mask