Lymph nodes in the neck - Case 1160 (cytologic picture 3)

Previous picture Back to Case Maximize Next picture

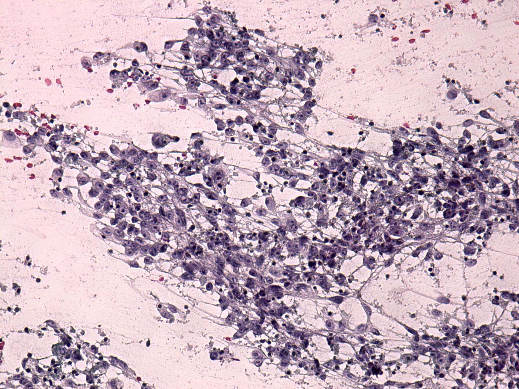
Pap-smear, 200x.   Irregular clusters of elongated, cylindrical cells.

mask