2022-23 Advanced Papillon Course
Lymph nodes in the neck
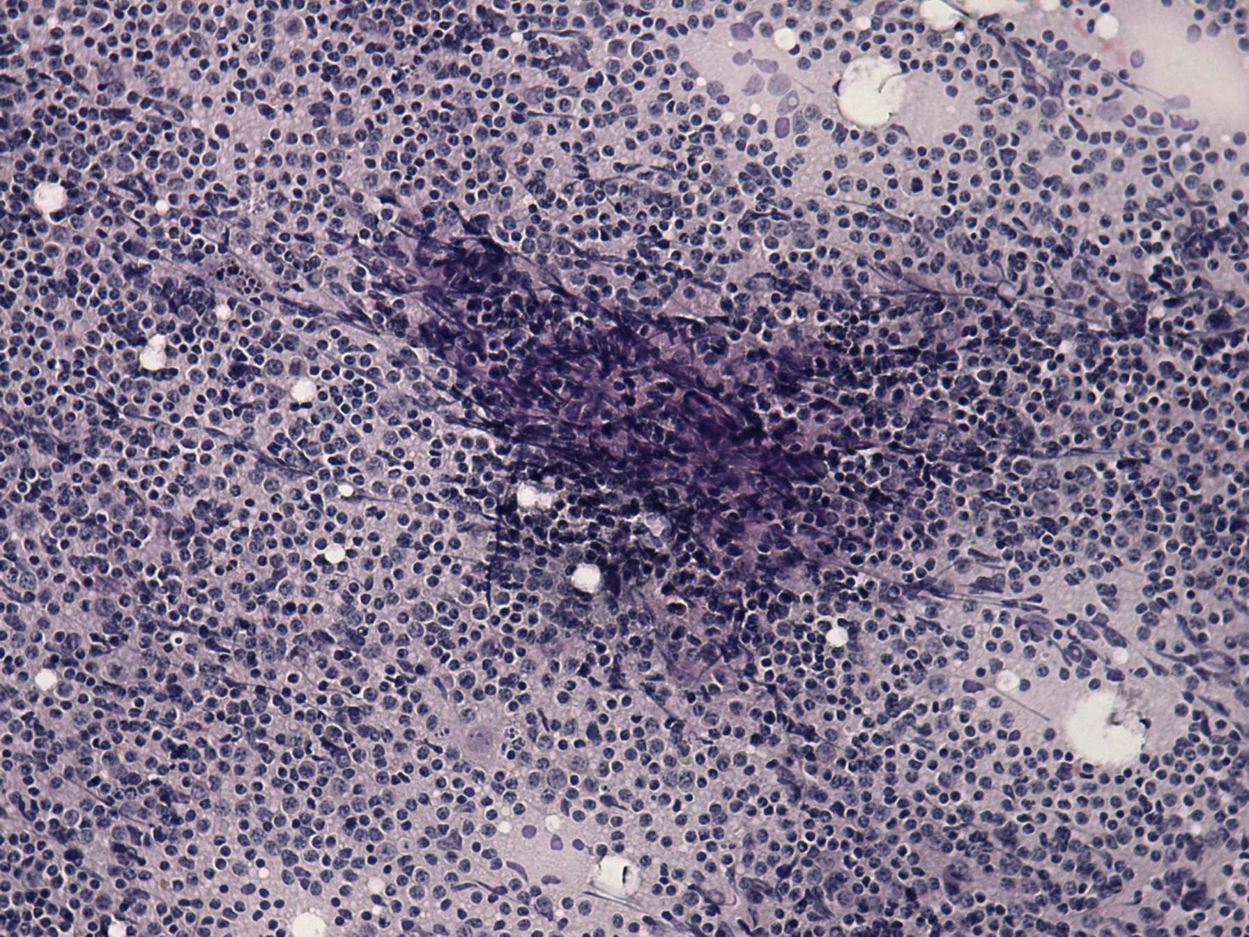
Pap-smear, 200x. Heterogeneous lymphoid cells, sinusoidal elements and macrophages can be seen.