Lymph nodes in the neck - Case 1410 (cytologic picture 3)

Benign, reactive-type lymph node


Previous picture Back to Case Maximize Next picture

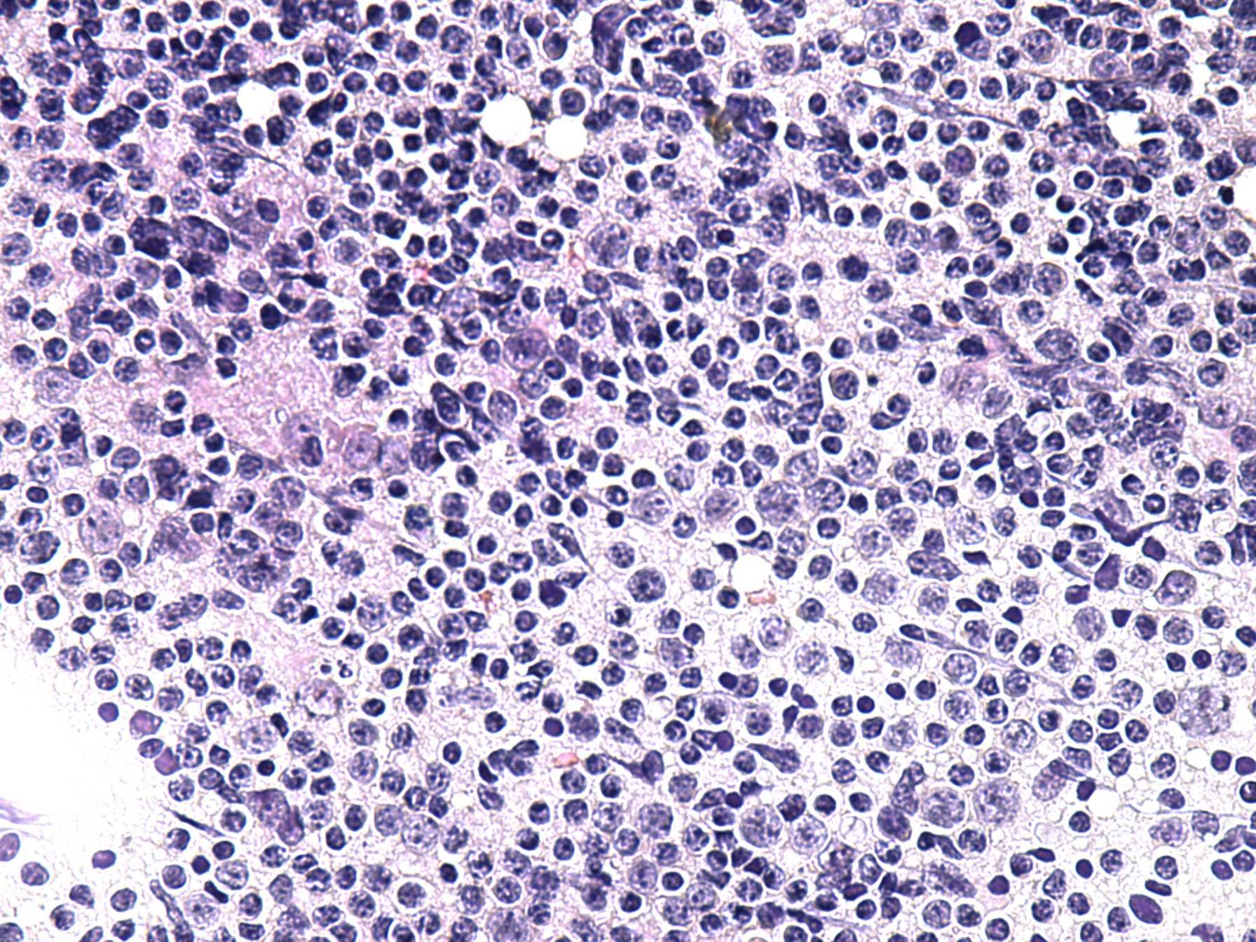
Pap-smear, 400x.   Medium-sized lymphocytes predominate the smear.

mask