2022-23 Advanced Papillon Course
Parathyroid lesions
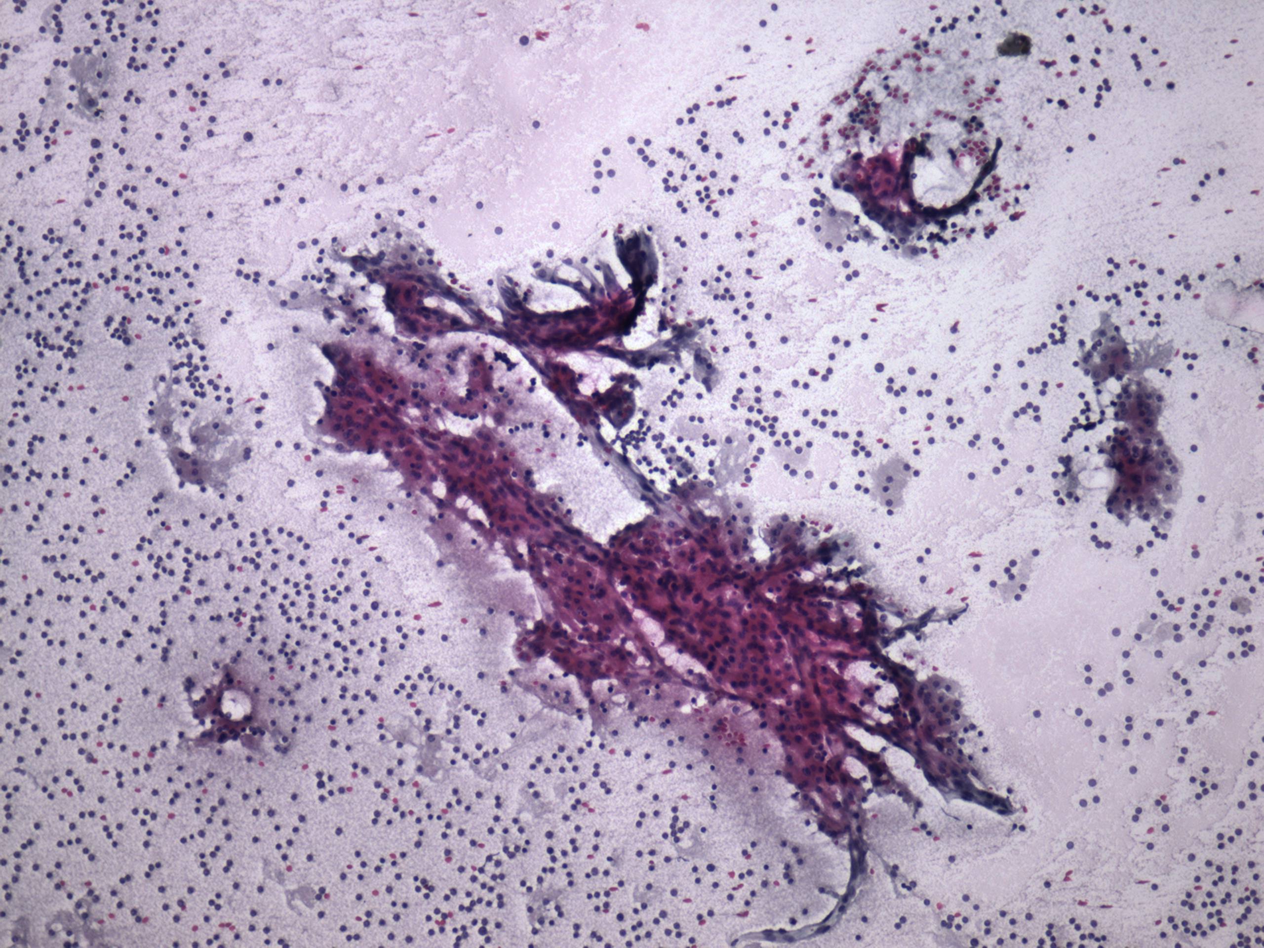
Pap-smear, 100x. A very cellular pattern. Epithelial cells occur dispersed in monolayered sheets.