2022-23 Advanced Papillon Course
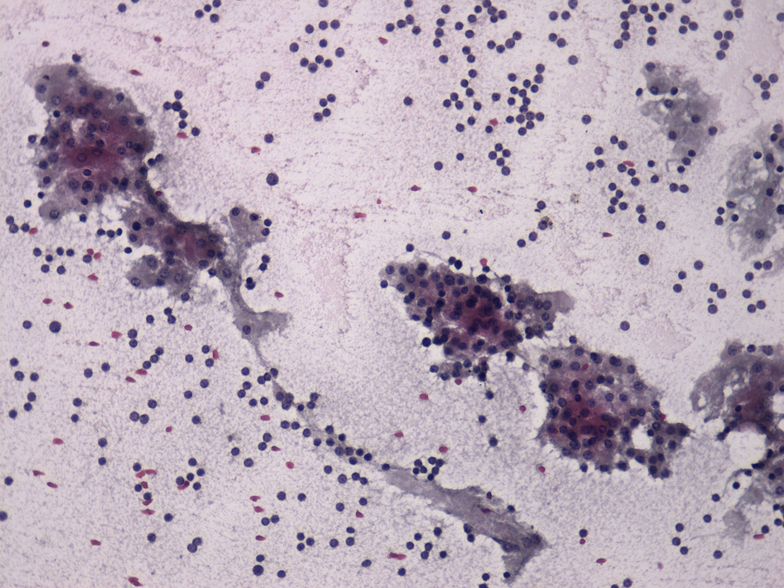
Parathyroid lesions
Pap-smear, 400x. This is a monomorphous pattern with slight anisonucleosis.