2022-23 Advanced Papillon Course
Parathyroid lesions
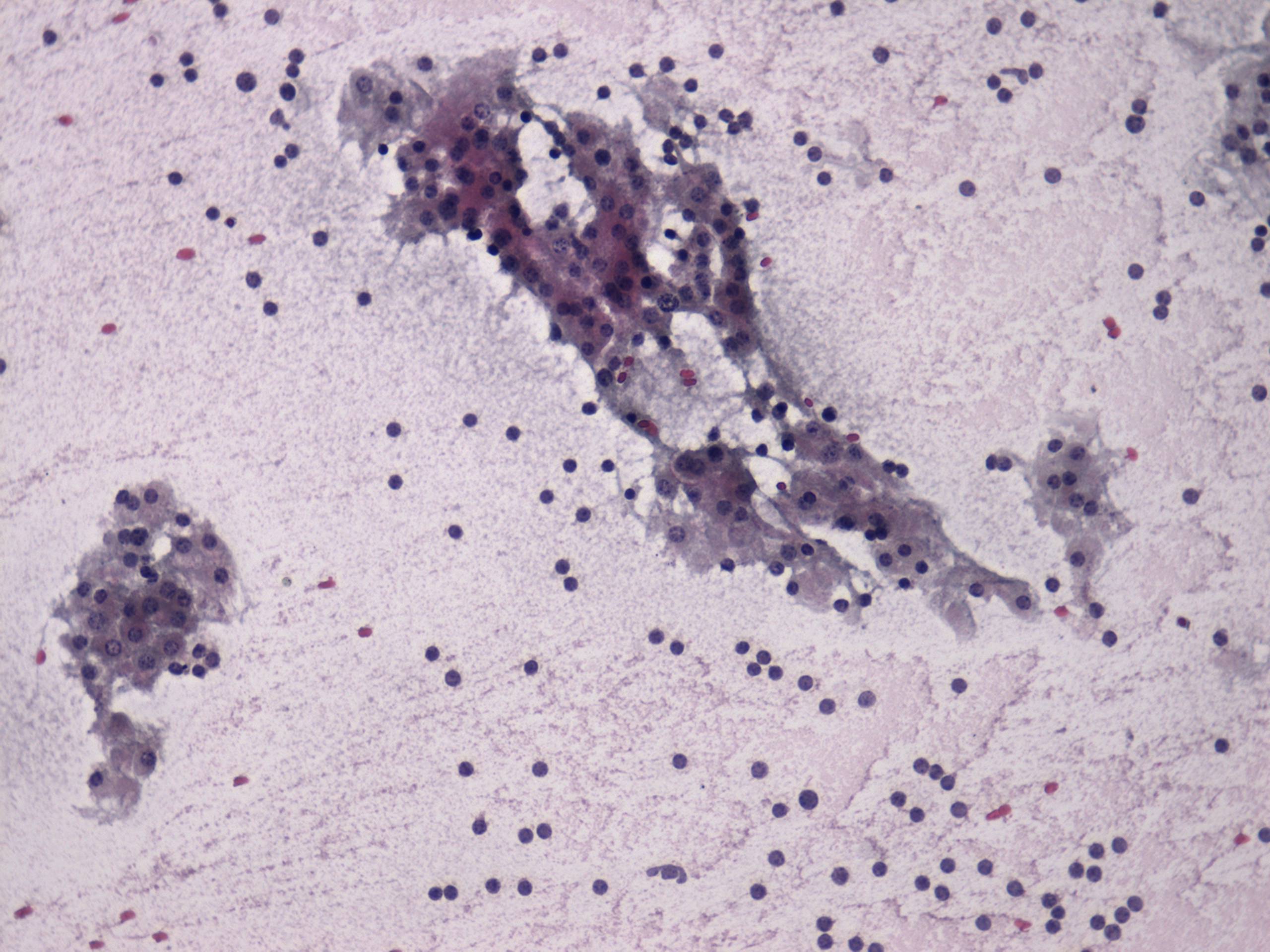
Pap-smear, 200x. Note the presence of vacuolization and abundant cytoplasm.