2022-23 Advanced Papillon Course
Parathyroid lesions
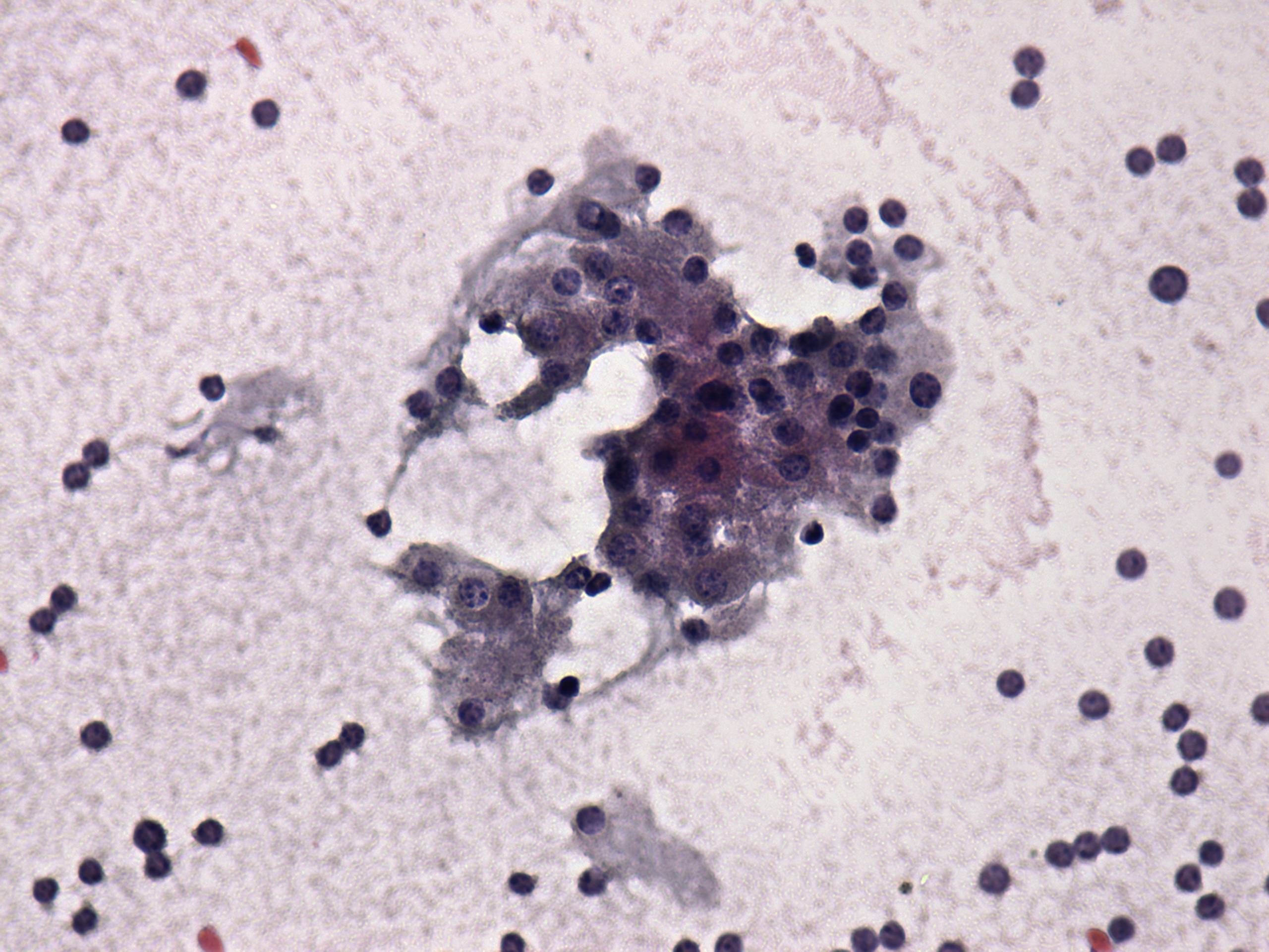
Pap-smear, 400x. The nuclei present coarsely granular chromatin structure.