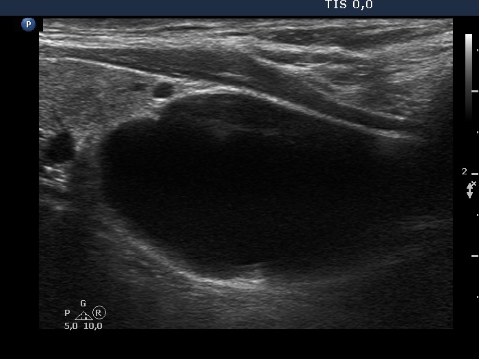
Parathyroid lesions - case 97 (ultrasonographic picture 7)


Previous picture Back to Case Next picture

Right lobe, longitudinal scan

Under the left lobe, longitudinal view. This is an almost completely cystic lesion.

 

 

 

 

mask