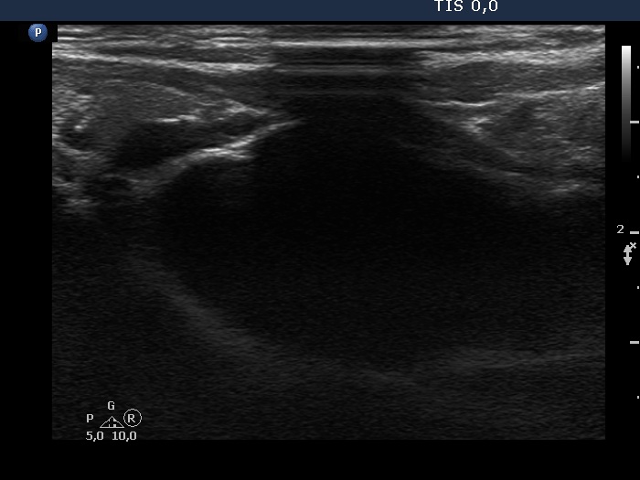
Parathyroid lesions - case 97 (ultrasonographic picture 8)
|
|
|
|
Under the left lobe, longitudinal view. In this section, the ultrasound probe could not be fit properly which caused an acoustic shadow.
