Teamwork - case 1091

Follow-up investigation one year later (cytologic picture 3)


Previous picture Back to Case Maximize Next picture

Right lobe, longitudinal scan

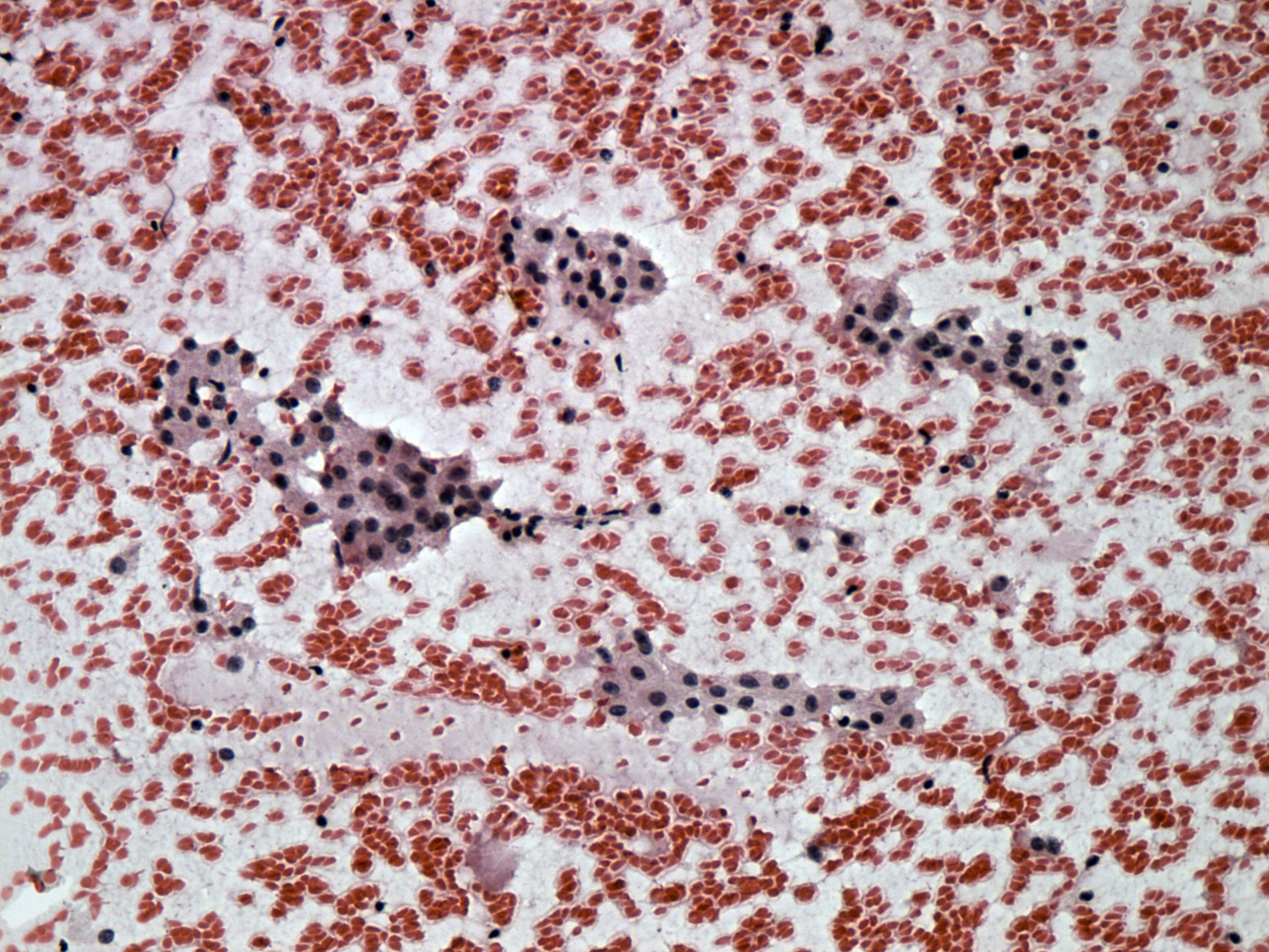
Pap-smear, 200x.  There are regular clusters, monolayered sheets of follicular cells.

mask