Teamwork - case 1091
Follow-up investigation one year later (cytologic picture 4)
| |
|
|
|
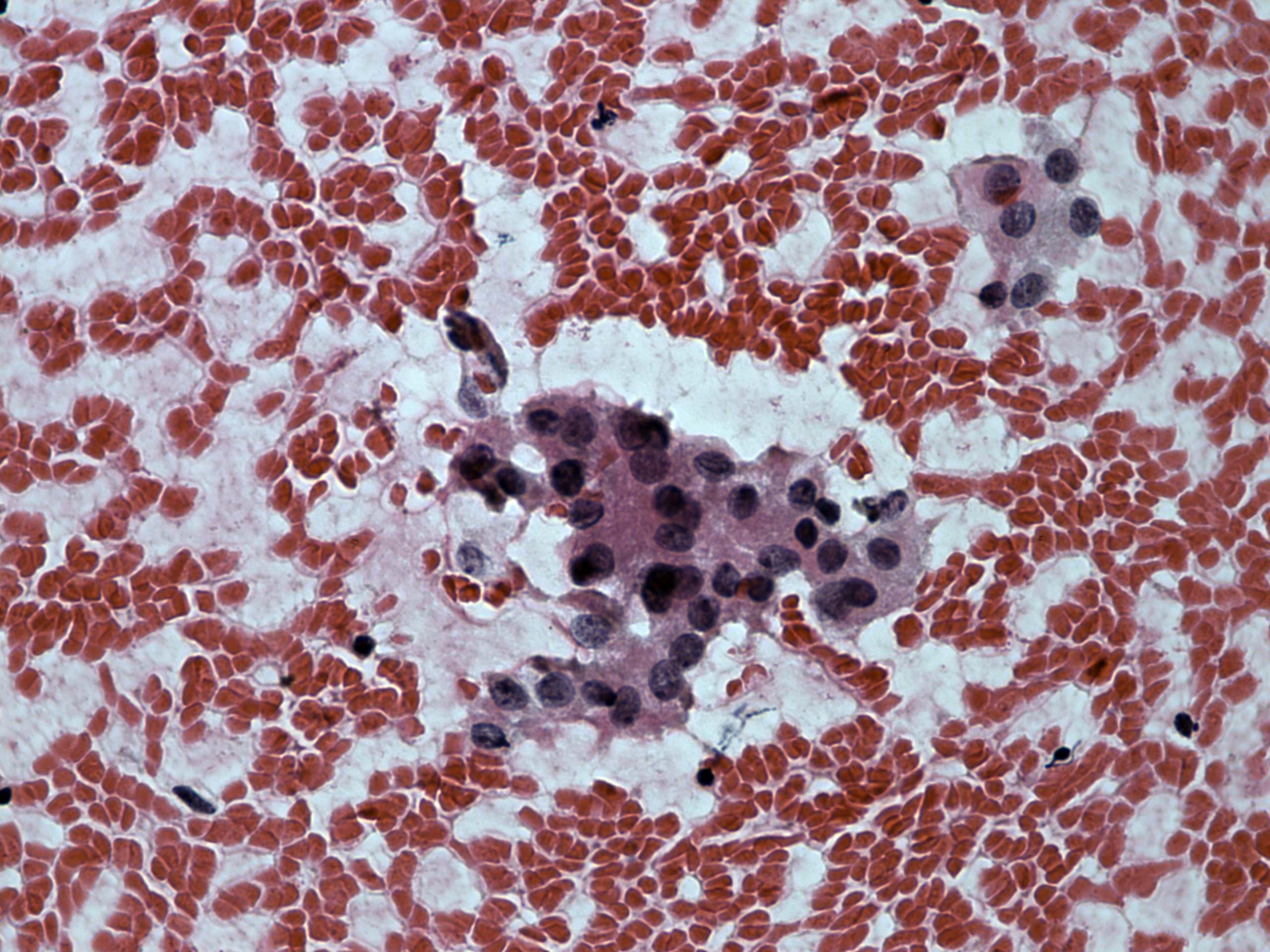
Pap-smear, 400x. A microfollicular growth pattern is demonstrated. Follicular cell have prominent nucleoli and several cells present groove.

