Teamwork - case 1091
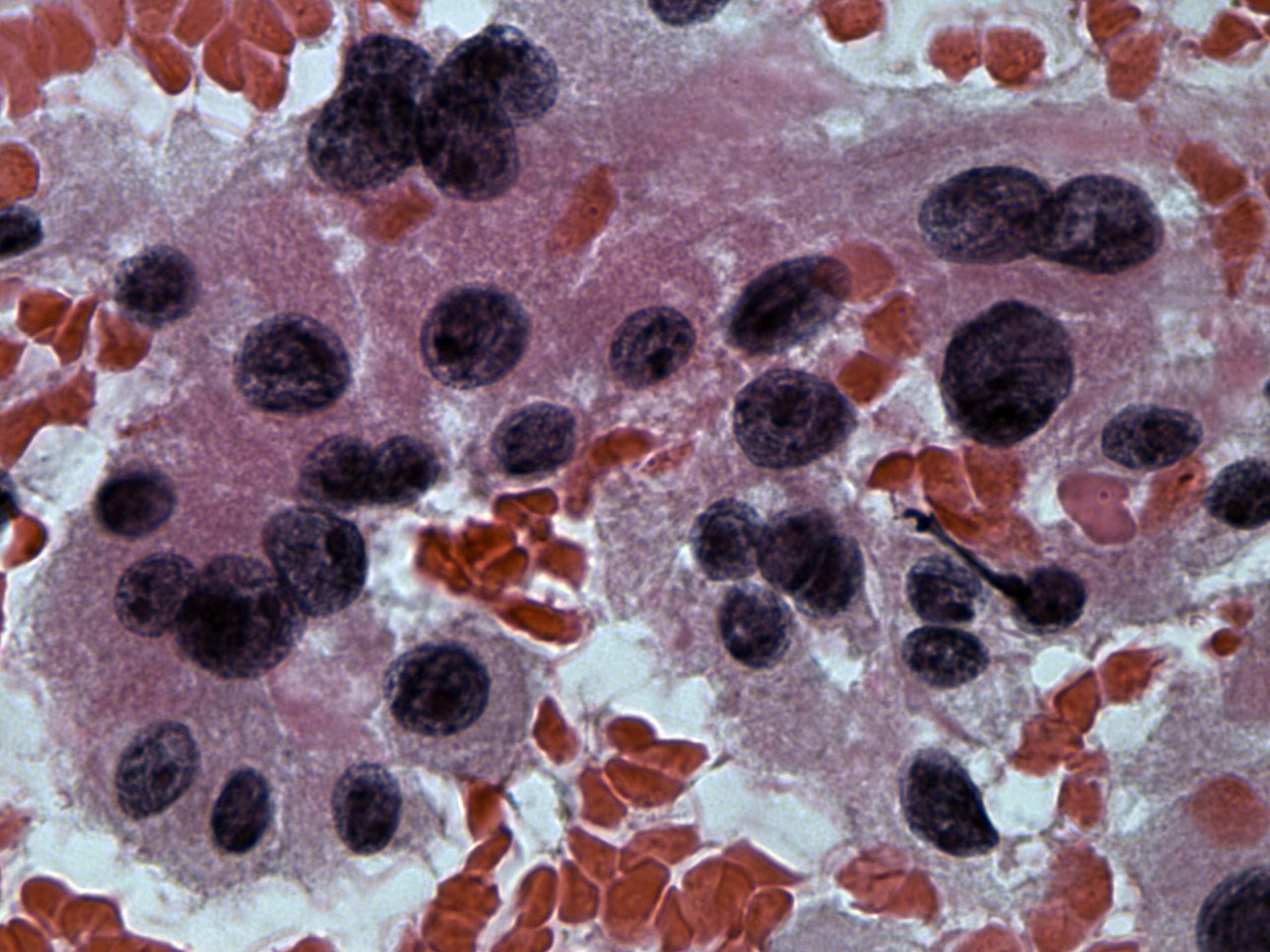
Follow-up investigation one year later (cytologic picture 7)
| |
|
|
|
Pap-smear, 1000x. Pap staining has one important disadvantage to Wright-Giemsa staining: the cytoplasmic fine granulation is more difficult to judge and therefore the identification of oxyphilic metaplasia is frequently not possible. Nevertheless, the cells presented in this image present probably oxyphilic changes.

