Teamwork - case 1091

Follow-up investigation one year later (cytologic picture 8)


Previous picture Back to Case Maximize  

Right lobe, longitudinal scan

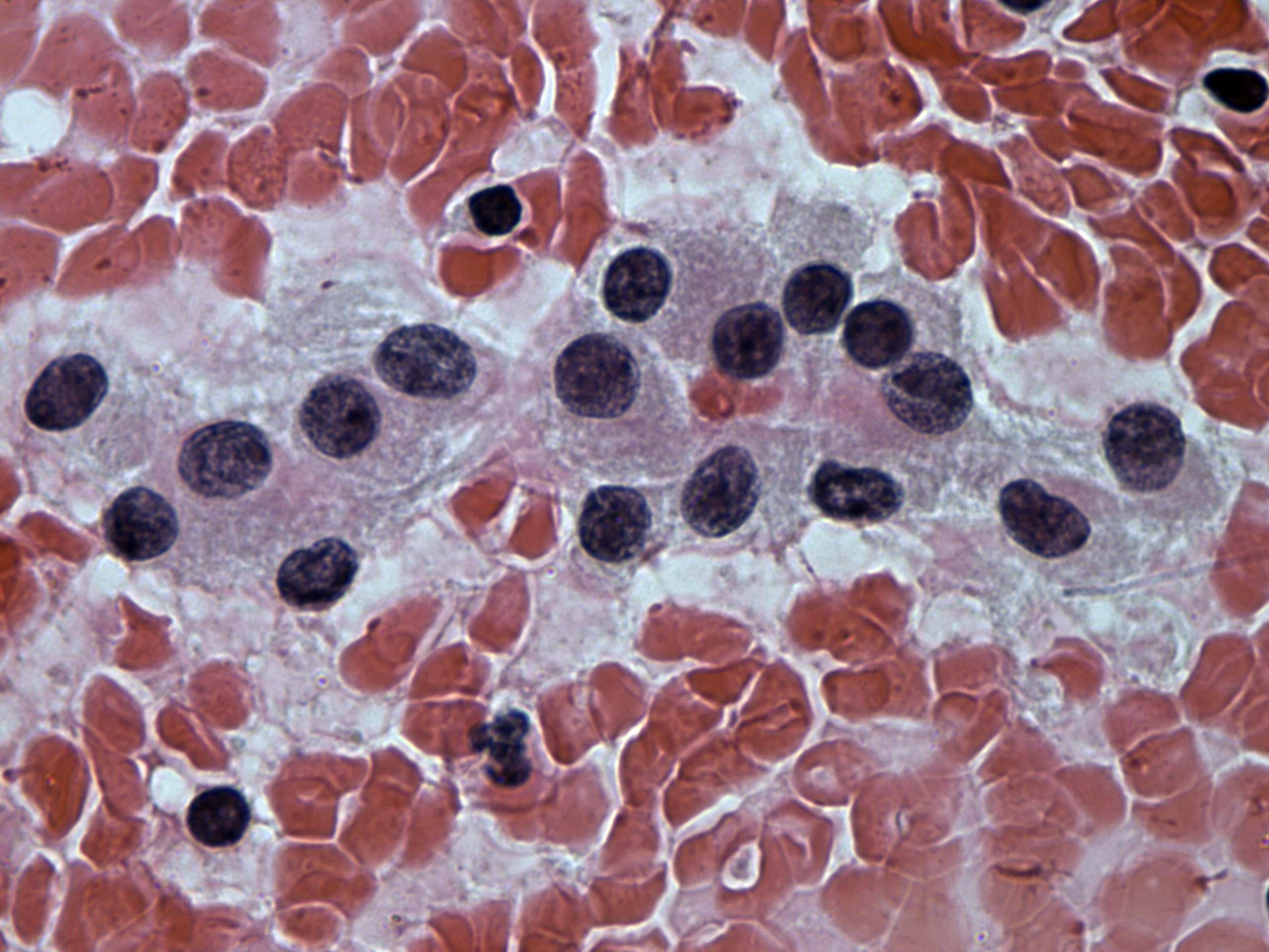
Pap-smear, 1000x.   A microfollicular pattern is demonstrated.

mask