Teamwork - case 375 |
|
Clinical data. A 40-year-old woman requested a second opinion. She has been treated for hypothyroidism for 7 years. She was examined because of her infertility. No thyroid ultrasonography has been performed, yet.
Palpation: Both lobes were firm on palpation. The right lobe was enlarged and nodular on palpation.
Functional state: euthyroidism on daily 75 microgram levothyroxine (TSH 1.09 mIU/L).
Ultrasonography. The thyroid was echonormal. There was a hypoechogenic nodule in the right lobe. The nodule displayed a halo sign and perinodular blood flow. There were smaller, moderately hypoechogenic areas within both lobes.
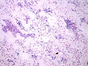
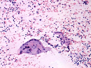
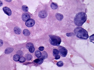
Combined cytological-clinical-sonographic diagnosis: Hashimoto's thyroiditis and Hürthle-cell tumor.
Histopathology disclosed Hashimoto's thyroiditis and Hürthle-cell adenoma.
Comments.
-
To perform ultrasonography is mandatory in each thyroid patient.
-
Although follicular cells display atypia and prominent nucleoli, the cytological picture itself is not suspicious. Taking the sonographic pattern into account, the patient must have had a follicular-type tumor with great probability.










