Teamwork - case 643 (cytologic picture 1)


Back to Case Maximize Next picture

Right lobe, longitudinal scan

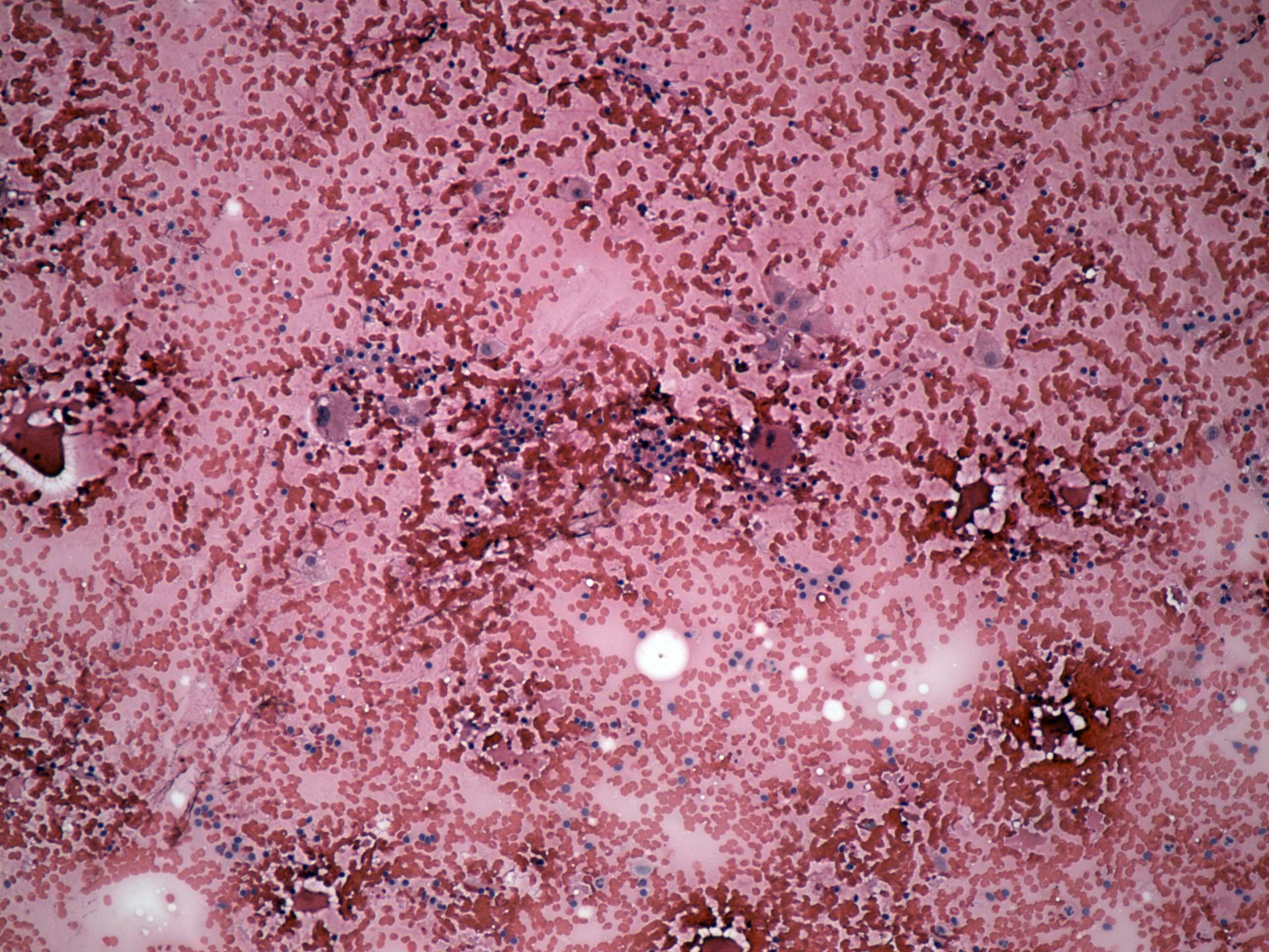
Pap-smear, 100x.   There are oxyphilic cell groups mixed with heterogeneous lymphoid cells.

 

 

 

mask