Teamwork - case 643 (cytologic picture 2)


Previous picture Back to Case Maximize Next picture

Right lobe, longitudinal scan

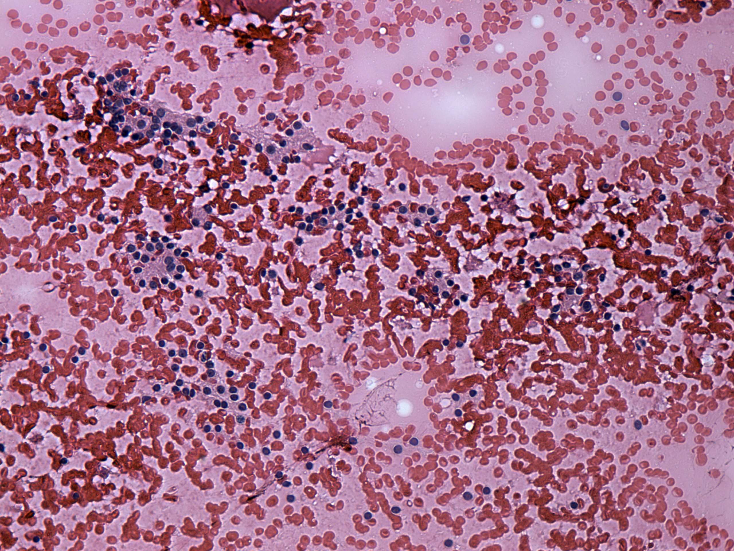
Pap-smear, 200x.   This image shows cohesive groups of Hürthle-cells.

 

 

 

mask