Teamwork - case 699 (ultrasonographic picture 10)


Previous picture Back to Case Next picture

Right lobe, longitudinal scan

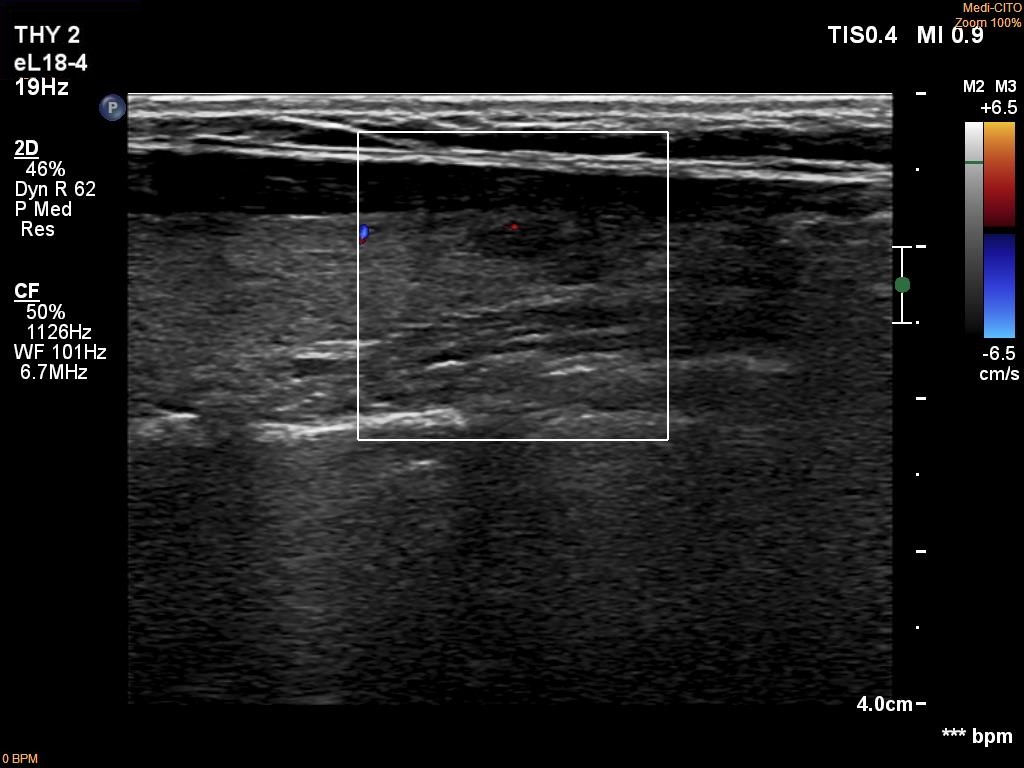
Left lobe, longitudinal scan, color Doppler mode. The lesion is almost avascular.

 

 

 

 

mask