Case 2007 (ultrasonographic picture 8)


Previous picture Back to Case Next picture

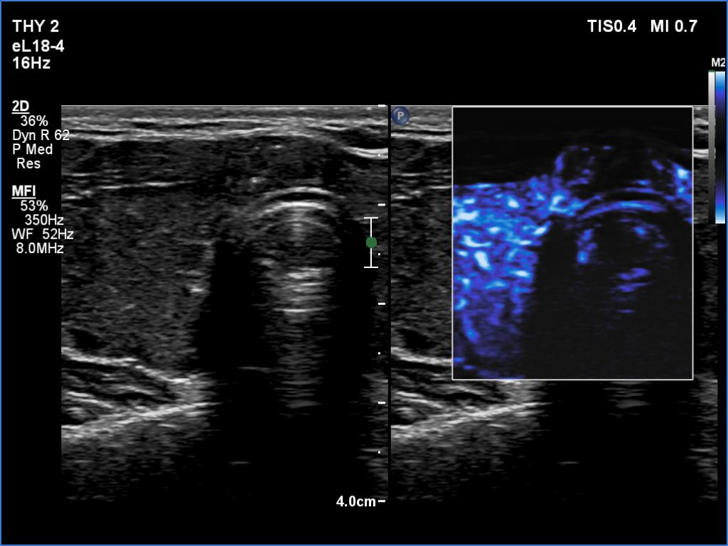
Right lobe, longitudinal scan

Isthmus, transverse scan, microflow imaging. Compared with the extranodular tissue, the vascularity is strikingly lower within the tumor.

 

 

 

 

mask