Case 316 (cytologic picture 1)


Previous picture Back to Case Maximize Next picture



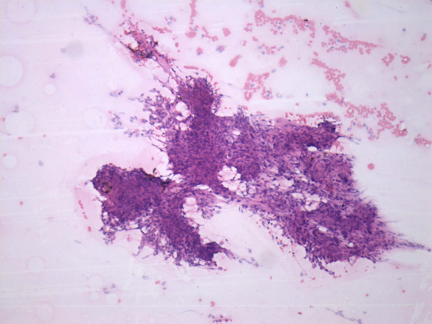
Pap-smear, 100x.   There are multinucleated giant cells in inflammatory background.

mask