Case 316 (cytologic picture 2)


Previous picture Back to Case Maximize Next picture



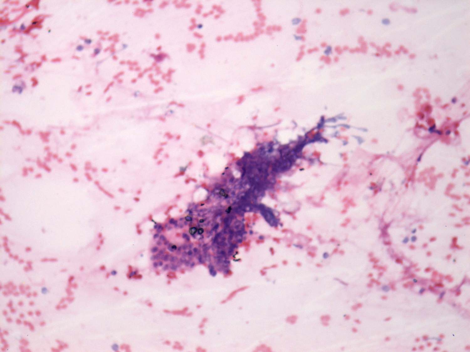
Pap-smear, 200x.   A multinucleated giant cell is demonstrated.

mask