Case 1096 (cytologic picture 4)


Previous picture Back to Case Maximize Next picture

Right lobe, longitudinal scan

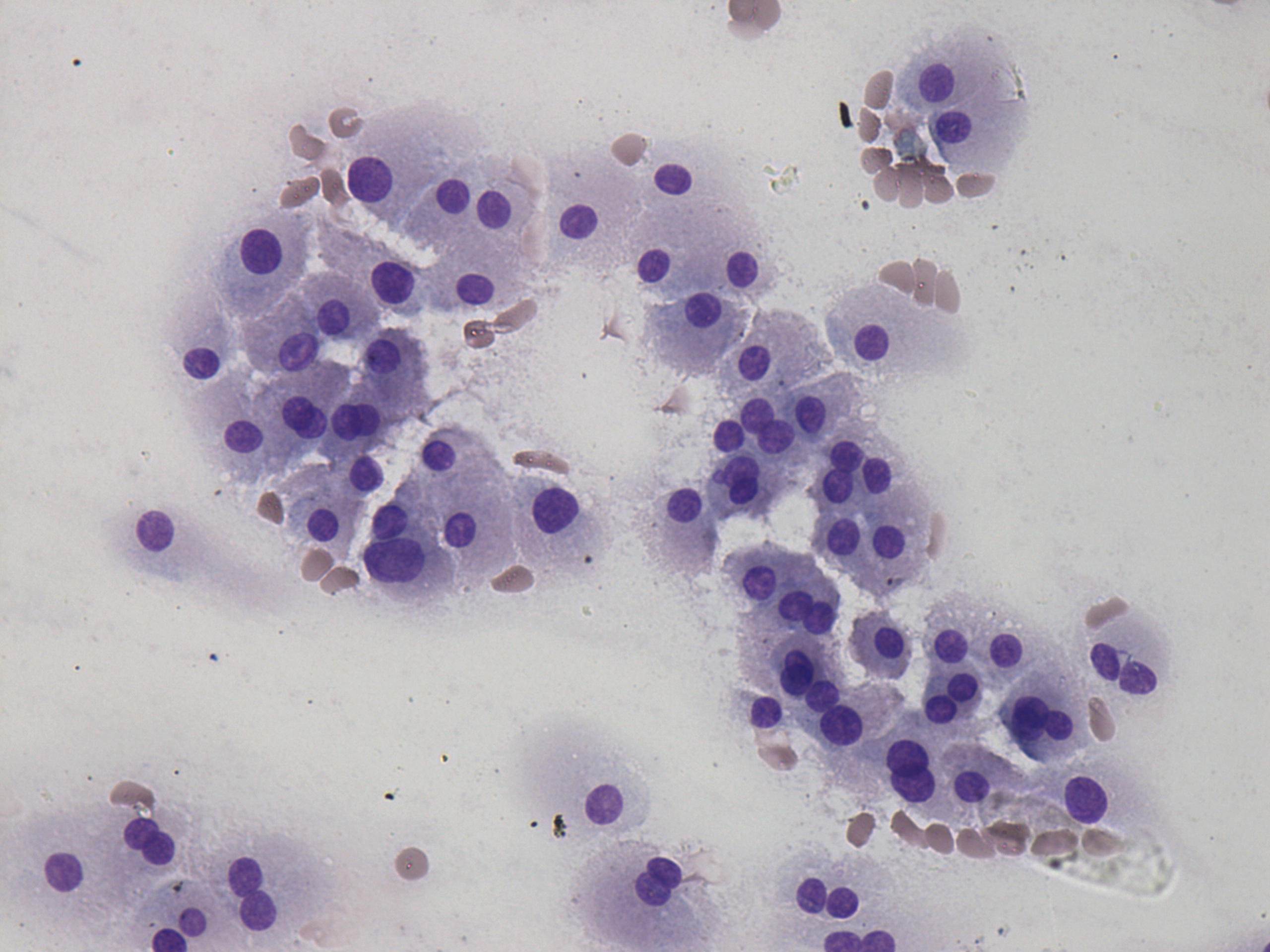
Wright-Giemsa staining, 400x.   The tendency to dissociation also favours tumorous origin.

 

 

 

mask