Case 1096 (cytologic picture 5)


Previous picture Back to Case Maximize Next picture

Right lobe, longitudinal scan

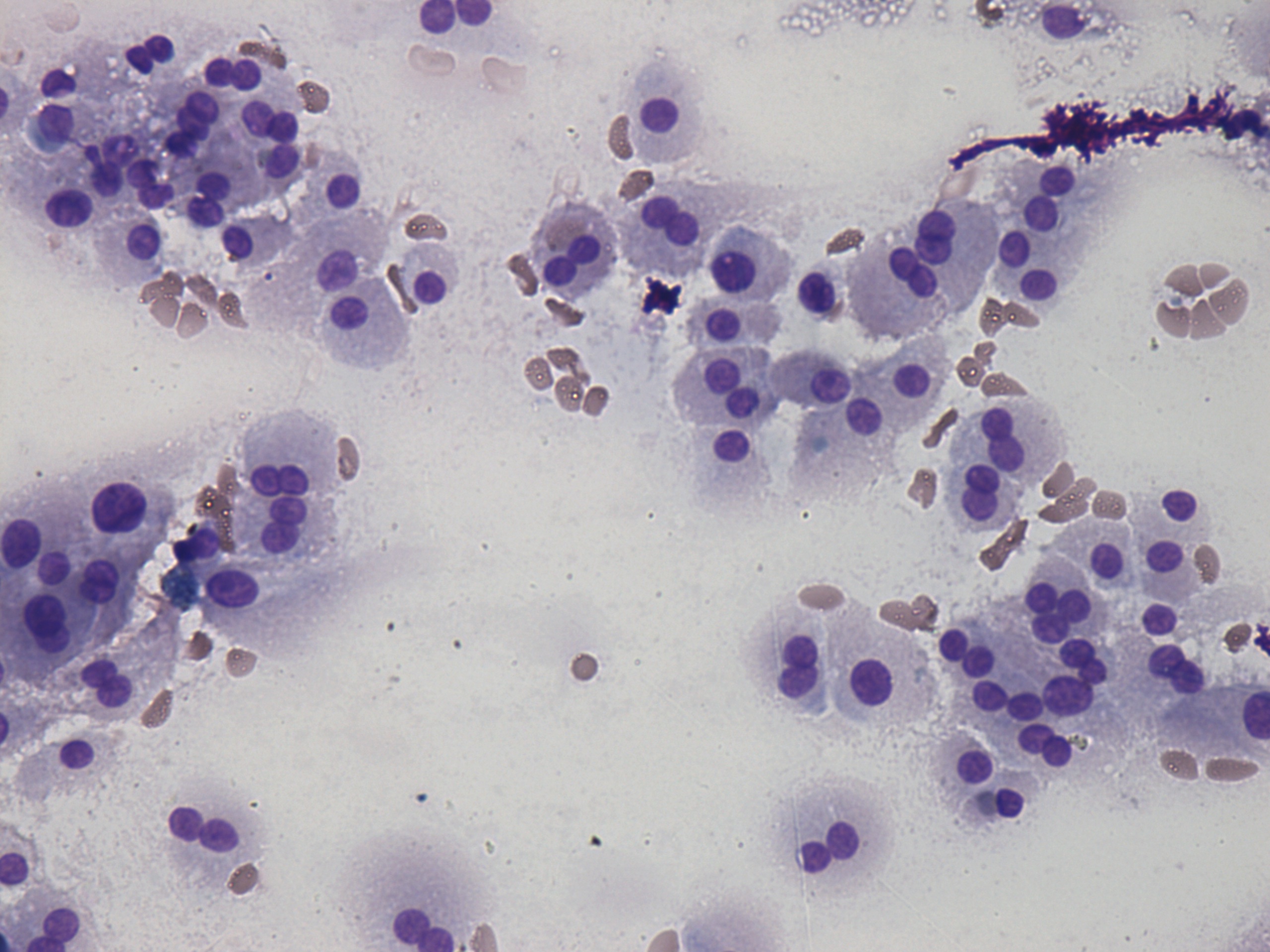
Wright-Giemsa staining, 200x.   Note the absence of lymphocytes or other inflammatory cells.

 

 

 

mask