Case 391 |
|
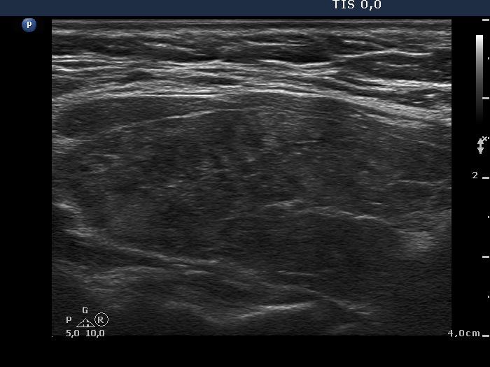
First examination (first row of images):
Clinical presentation: A 39-yr-old woman was referred for evaluation of a newly diagnosed hypothyroidism. She was treated for Graves' hyperthyroidism for 11 and for 7 years. Since than, the thyroid function has been normal.
Palpation: Both lobes were enlarged and nodular on palpation.
Laboratory tests: TSH 10,3 mIU/L, FT4 8.63 pM/L.
Ultrasonography. The thyroid was composed of hypoechoic and isoechoic islets divided by hypoechoic bands. The presentation corresponded to micronodular pattern.Suggestion: daily 75 microgram levothyroxine. The is 3 months, ultrasound in three years.
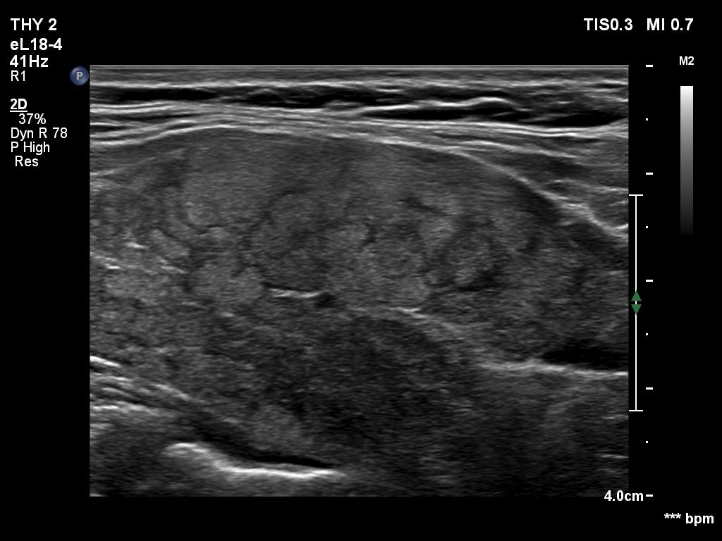
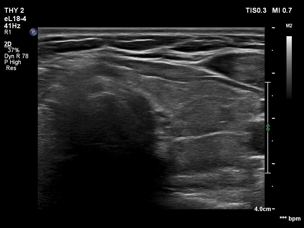
Second examination seven years later (second row of images):
Clinical presentation: The patient requested the evaluation because of complaints suggesting hypothyroidism.
Palpation: unchanged.
Laboratory tests: TSH 6.81 mIU/L on daily 50 microgram levothyroxine.
Ultrasonography. The pattern and the thyroid volume were essentially the same as 7 years ago.Suggestion: daily 75 microgram levothyroxine. TSH in 6 months, ultrasound in three years.
Comments.
-
The micronodular pattern is usually stable. The thyroid is more often enlarged than in other forms of hypothyroidism.
- As in most cases of micronodular presentation, the presence of true nodule or nodules cannot be ruled out or justified.










