Case 1162 |
|
Clinical presentation: A 27-year-old woman was referred for evaluation of nowly developed neck complaints. She has been treated for hypothyroidism for more than 10 years. Recently, she experienced sensitivity of the left lobe.
Palpation: Both lobes were firm, the left lobe was tender. No nodules could be palpated.
Result of blood test: TSH 103.0 mIU/L on daily 50 microgram levothyroxine.
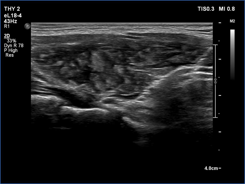
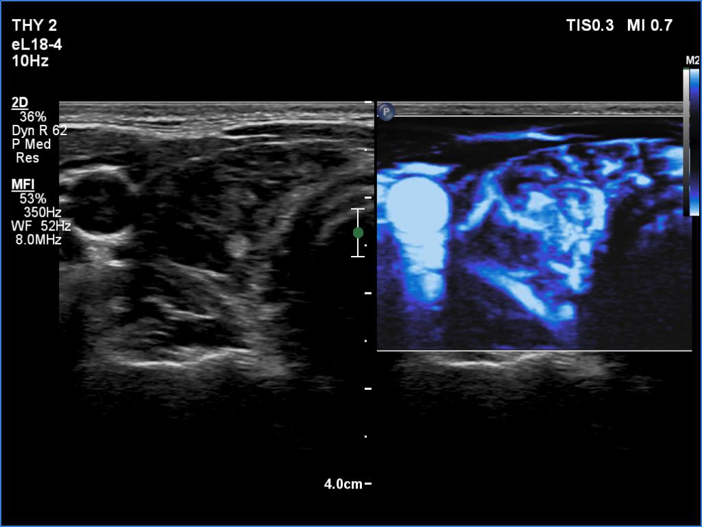
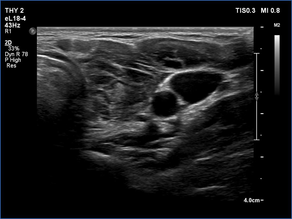
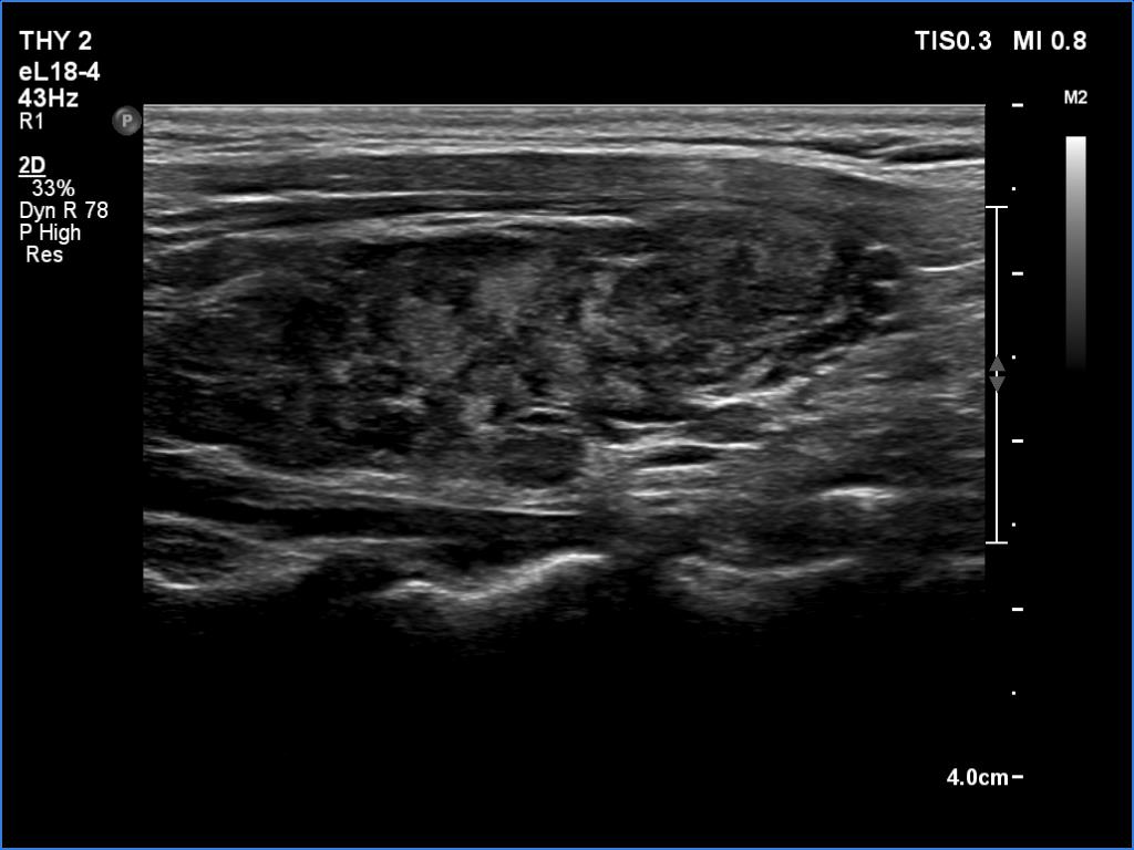
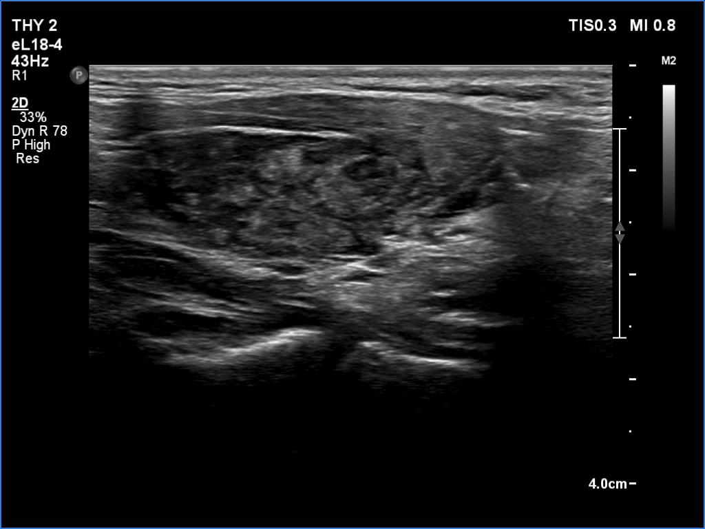
Ultrasonography. The thyroid was deeply hypoechoic and had numerous discrete iso/hyperechoic lesions. The latter had irregular shape and borders. The vascularity was increased. None of the discrete lesions corresponded to pathological nodules.
Suggestion. Adjust the levothyroxine dose to 100 micrograms and use a non-steroidal anti-inflammatory drug.









